
常常有体检中检查出肺结节的患者一到医院门诊就跟医生说:
“医生,给我做一个增强CT!”“我要做一个最贵的检查——PET-CT!”
随着医疗水平的发展和健康意识的提升,胸部CT在体检中的应用越来越广泛,使得肺结节的检出率越来越高。
但体检时胸部CT报告往往只提示有肺结节,并不会给出确诊性的意见,如果想要确诊需要进一步检查,很多患者甚至医生并不知道下一步到底做什么检查最好,很多人认为贵的检查就更好,诊断准确率更高。

贵的就更好吗?
增强CT或者PET-CT在某些时候确实有一定的优势,但并不是所有的肺结节都合适,甚至在某些方面还有劣势,这里新华君先介绍一下这几种检查:
各种检查特点不同
平扫CT
平扫CT是指一般的CT,不需要注射对比剂(不需要打针),可以分为厚层CT和薄层CT,一般以扫描层厚1.5mm作为界限,层厚大于1.5mm的属于厚层CT,一般作为体检或者急诊用,层厚小于1.5mm的是薄层CT,我们所说的高分辨率CT一般指薄层CT,可以更加详细的显示肺结节的内部细节。
优点:便宜;方便获得,基本所有医院都有CT,三甲医院都有高分辨率CT。
缺点:只能显示病灶的形态特征,不能显示病灶的血供和代谢状况。
增强CT
增强CT是平扫CT的加强版本,在完成了平扫CT后再注射对比剂(一般为碘造影剂),造影剂通过血管进入病灶内部,如果血供丰富的肿瘤会有一个明显强化,因此增强CT其实主要看的是病灶的血供情况。
优点:具有平扫CT所有优点,同时可以显示病灶的血供情况。
缺点:不能显示病灶的代谢状况,需要注射碘造影剂,价格相对昂贵。
PET/CT
PET/CT 全称为正电子发射断层显像 /X 线计算机体层成像仪,是一种将 PET和CT两种先进的影像技术有机地结合在一起的影像设备,除了有平扫CT的功能,还有PET的功能,通过注射氟代脱氧葡萄糖(18F-FDG)显示病灶的代谢状态,观察病灶的“活力”,同时该检查是一个全身性检查,一次扫描可以观察从头到脚所有部位。
优点:扫描范围广,具有CT的特性,可以显示病灶代谢情况。
缺点:价格昂贵,医保不报销;对肺的分辨率不够;不能显示病灶血供情况。
1024CT
1024CT是一种专门针对肺结节的靶扫描,是一个局部扫描方案,无需注射造影剂,也是平扫CT的一种,但相对于一般的平扫CT,1024CT扫描范围更小,每次扫描一小部分肺,但是扫描精度更高,层厚更薄,分辨率更高,同时通过三维重建多方位显示肺结节的特性,对于磨玻璃结节针对准确约98%。
优点:高分辨率中的高分辨率CT,扫描层厚更薄,分辨率更好。
缺点:每次只能扫描一部分肺野,不能完全显示两肺。
肺结节有三种
了解了几种检查之后,再了解一下肺结节的几种情况。肺结节可以分为三种,纯磨玻璃结节、混合磨玻璃结节(亚实性结节)和实性结节。
纯磨玻璃结节是指肺内磨砂玻璃样的结节,在结节内部还可以观察到肺部血管、支气管等等结构;
实性结节的重点是“实”,相对于磨玻璃结节而言,在实性结节内部看不到原来的肺部结构;
混合磨玻璃结节(亚实性结节)是介于两者之间的,是磨玻璃成分和实性成分的混合体。
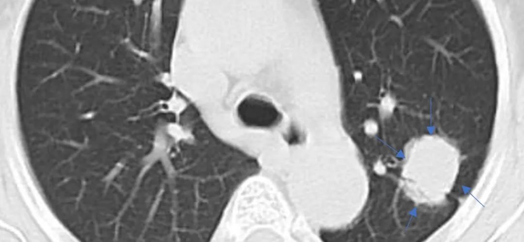
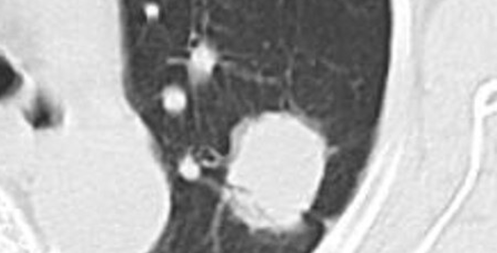
通过以下三张图片
可以有一个很好的理解

纯磨玻璃结节,可见内部血管影

混合磨玻璃结节,周围蓝色箭头所示为磨玻璃成分,中央红色箭头为实性成分

实性结节内部肺结构消失
其实每一种结节适合的检查并不一致。
对于纯磨玻璃结节而言,因为基本没有血供,代谢与正常肺组织相仿,因此进行增强CT和PET-CT并不能提高肺结节的诊断准确率。磨玻璃结节的诊断主要依靠肺结节的形态学特征来判断,也就是说对肺结节的内部细节显示的越清楚,诊断就越准确,可以说高分辨率是诊断磨玻璃结节的核心竞争力,因此对于磨玻璃结节而言,进行高分辨率CT检查,最好是高分辨率中的高分辨率检查1024CT是最好的。而PET-CT中的CT多数并不是高分辨率CT,诊断磨玻璃结节反而不如高分辨率CT,因此完全没有必要。
实性结节与磨玻璃结节不同,表现为实性的肺肿瘤局部肿瘤细胞更多,恶性肿瘤则血供丰富,代谢相对与周围肺组织更加旺盛,因此对于实性结节进行增强CT扫描是有意义的,进行PET-CT检查也是有意义的,有助于帮助肺结节的诊断,根据上海市的质量控制标准,大于等于2cm的实性结节要求进行增强CT扫描,但是没有对PET-CT进行规定,因为考虑到该检查过于昂贵,并且完全自费,并不是所有患者都能负担,因此有条件的患者可以考虑PET-CT检查。
另外,PET-CT的最强适应症是排查肿瘤的转移,因此我们临床上也多用于中晚期肿瘤的诊断,早期肺部肿瘤多不考虑使用该检查。

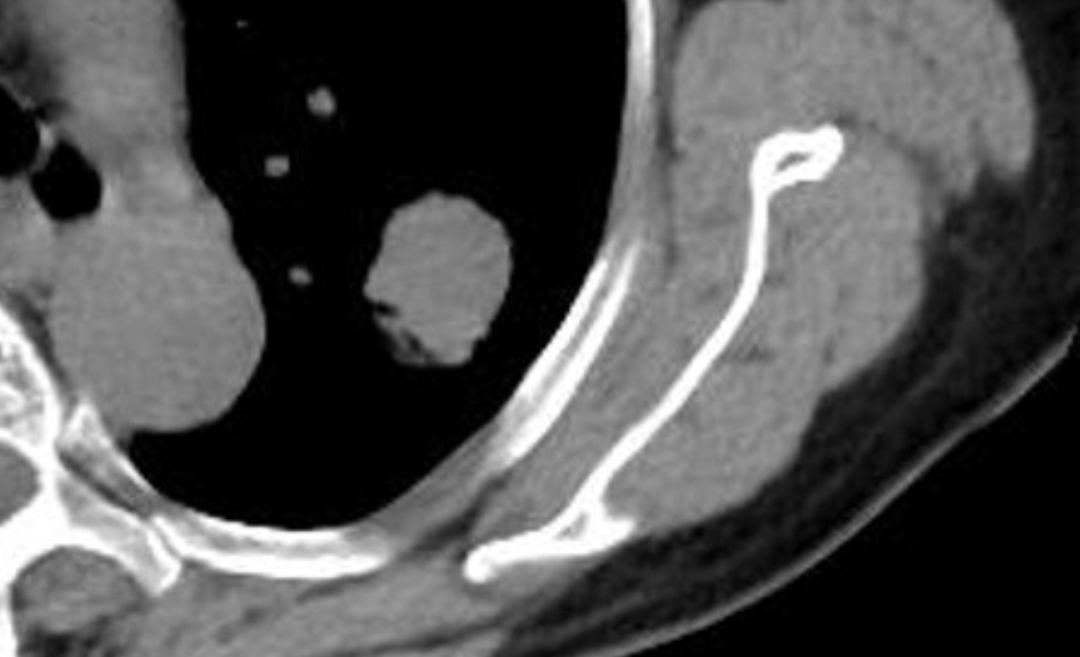
平扫CT肺窗

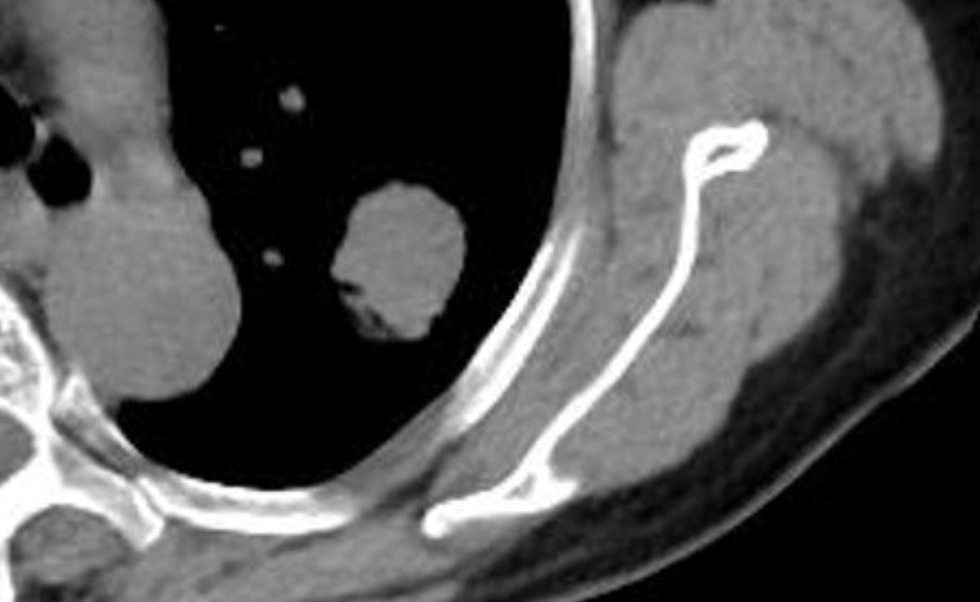
平扫CT纵隔窗密度约40HU

增强CT纵隔窗,肺结节密度增高至60HU,考虑恶性肿瘤

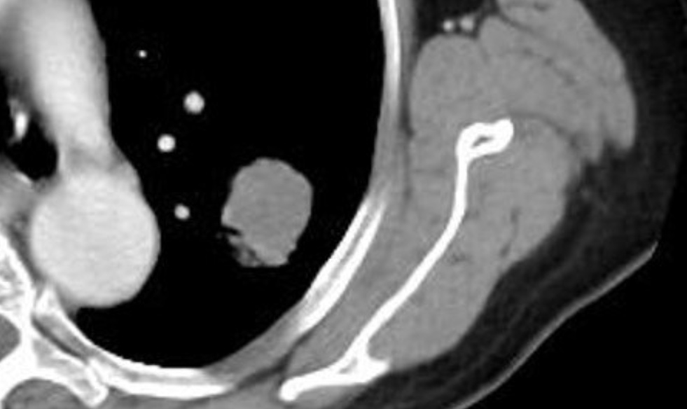
平扫CT纵隔窗密度约40HU

PET-CT显示病灶糖代谢摄取高,
诊断为恶性肿瘤
混合磨玻璃结节是介于纯磨玻璃结节和实性结节之间的,有两种成分,对于这种结节,一般也不需要进行增强CT以及PET-CT检查,进行高分辨率CT多数可以明确诊断,如不能明确可以进一步1024CT,当然如果混合磨玻璃结节中实性大,占比高,可以按照实性结节的来处理,这时候进行增强CT或者PET-CT是有意义的。
发现肺部结节要根据结节的实际情况选择进一步检查方案,并不是越贵的检查越好。
对于纯磨玻璃结节进行高分辨率CT一般就足够了,如不能明确诊断可进一步行1024CT检查明确诊断,增强CT和PET-CT没有意义;
大于2cm的实性结节推荐进行增强CT检查,根据经济条件选择是否行PET-CT检查;
混合磨玻璃结节如实性成分较少处理方式同纯磨玻璃结节,如实性成分多处理方式同实性结节。
作者:新华医院心胸外科 蒋连勇

