
方明医生在李国光副主任医师的指导下手术
吴先生右下后牙缺失多年,给他造成了不小的烦恼,影响到了正常咀嚼功能。在九亭镇社区卫生服务中心口腔科就诊时了解到这里可以开展种植牙手术,经过仔细全面的口腔检查、检验等,医生认为吴先生符合种植牙条件,决定实施右下后牙区种植牙的修复方案。

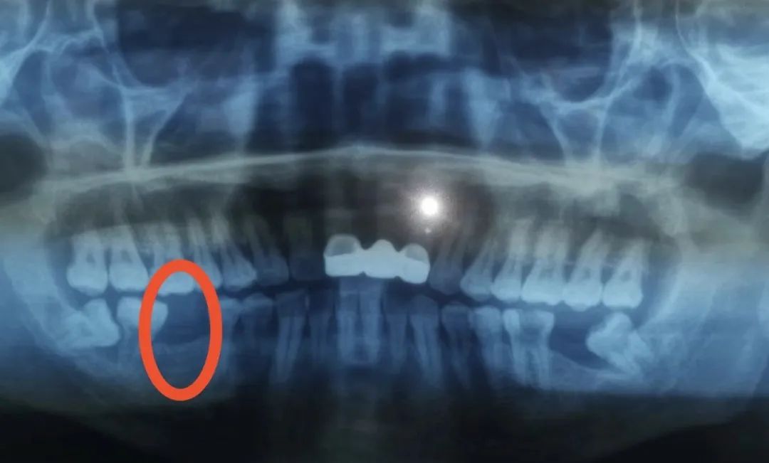
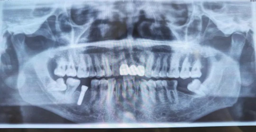
本次手术由李国光副主任医师和方明医生共同完成,是该中心首例种植牙手术。手术历时约30分钟,术中微创操作,患者全程无痛,术后无不良反应,整个诊疗过程舒适、安全、精准。经术后检查种植体位置精确。


种植体位置精确

什么是种植牙
种植牙是通过医学方式,将与人体骨质兼容性高的纯钛金属经过精密的设计,制造成类似牙根的圆柱体或其他形状,以外科小手术的方式植入缺牙区的牙槽骨内,经过1~3个月后,当人工牙根与牙槽骨密合后,再在人工牙根上制作烤瓷、全瓷牙冠。
种植牙的优点
稳固性好:由于种植体深植于患者的牙槽组织,具有很强的固位力与稳定性,可以像真牙一样扎根在口腔里。
咀嚼效率高:种植牙修复后的牙齿,原理与真牙相似,咀嚼效率大大优于其它传统假牙。
对邻牙和牙龈没有损伤:种植牙通常不用磨损两侧的健康牙齿,对患者的健康邻牙没有任何损伤。并且不用担心传统假牙所带来的牙龈萎缩等问题。
效果美观、患者口感舒适。
专家介绍

李国光
口腔临床副主任医师
岳阳街道社区卫生服务中心副主任
深耕岳阳社区口腔工作15年,具有丰富的口腔临床经验,在种植牙和前牙美学修复上颇有心得。
口腔科开诊时间:周一至周五全天;周六上午
如有种植牙需求,可至九亭镇社区卫生服务中心口腔科诊室面诊,预约专家咨询。
供稿:九亭镇分中心
编辑:沈莉娜


