近日,王女士因过于劳累昏倒后被紧急送往某医院急诊科就诊。急诊头颅CT显示:蛛网膜下腔出血,环池左侧局灶性密度增高,动脉瘤破裂可能性非常大,需行DSA明确诊断。入院后,医院就王女士的情况及时在微创介入下行脑血管造影,并进一步介入手术,挽救了患者的生命,有效缓解了王女士的头痛症状。
那么什么是脑血管造影呢?我们又该如何去预防发生这类疾病呢?让我们来一探究竟吧!
人类大脑,自古以来便是医学与科学界最为神秘莫测的领域之一。其复杂的结构和精密的功能让人们不禁为之惊叹。然而,正是在现代医学技术的显微镜下,我们得以一窥大脑内部的奥秘,揭示那些隐藏于血管之间的精妙结构。

脑血管造影:作为一项精密而卓越的医学技术,将大脑血管系统显露于光芒之下,为医生们提供了独特的视角,使其能够准确地诊断病变、制定治疗方案,甚至为手术提供了精准的路径规划。本文将引领读者深入了解脑血管造影的工作原理、应用领域以及在医学领域中的重要性,一同揭开这扇窥见大脑奥秘的魔法之窗。
什么是脑血管造影?
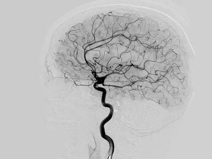
脑血管造影:简称CBT(Cerebral Angiography),是一种医学检查方法,通过它可以清晰地看到大脑内的血管结构。这一技术的原理基于X射线成像,它允许医生和科研人员观察大脑供血系统中的异常和病变。
脑血管造影的独特优点:
(1)超选择性血管内显影,能显示颅内血管的各种病变,包括动脉瘤,动静脉畸形,动脉夹层,动脉狭窄或者闭塞等,并对病变血管进行准确测量;
(2)动态显示脑循环全时程,能对脑实质的供血血管进行造影,动态观察颅内灌注状况;
(3)3D显示更多的细节,对于动脉狭窄,可以评估是偏心还是同心狭窄,对于动脉瘤,可以通过三维重建多角度评价瘤体情況。

脑血管造影的一般过程如下
(1)检查前准备
患者需要进行必要的身体检查和实验室检查,以确保符合造影检查的要求。
(2)血管穿刺
医生会选择合适的血管进行穿刺,一般选择桡动脉或股动脉。
(3)插入导管
将导管插入血管,并将导管头端放置到需要检查的脑血管处。
(4)注射造影剂
通过导管向血管内注射造影剂,同时进行影像学检查,观察造影剂在血管内的流动情况。
(5)检查结束
检查完成后,医生会进行拔管处理,并对穿刺部位进行压迫止血。

通过这个过程,医生们可以获取到关于大脑血管系统的详细图像,从而诊断和监测与之相关的疾病或异常,为病人提供更准确的治疗方案,甚至为手术提供精确的路径规划。这使得脑血管造影成为现代医学中不可或缺的重要工具之一。
脑血管造影的应用
(1)疾病诊断与监测:脑血管造影被广泛用于诊断和监测大脑血管系统中的问题,如动脉瘤、脑梗塞、动脉硬化、脑血管畸形、颅内血肿等。这有助于医生确定最佳的治疗方案。
(2)手术规划:对于需要进行脑部手术的患者,脑血管造影可以提供精确的血管图像,帮助外科医生规划手术路径,减少手术风险。
(3)研究和教育:脑血管造影不仅在临床中有用,还在医学研究和医学教育中发挥关键作用。它帮助科学家更好地理解大脑血管系统的结构和功能。
全脑血管造影
不能被B超、CTA或MRA检查代替
B超、CTA或MRA检查可以作为行DSA检查前的筛选工具,但不能完全替代。全脑血管造影术不仅能够清晰的显示从主动脉弓至颅内细小血管分支的形态(最细能显示直径小干1毫米的血管),而且能准确的显示血管病变程度、范围并且动态观察血流灌注过程(像放电影样的动态过程)。
确切来说,B超、CTA、MRA检查发现的血管病变都可以进一步通过DSA检查以进一步明确或排除。
脑血管造影的风险与并发症
脑血管造影是一种安全的诊断方法,据统计,神经系统的总并发症率仅仅为1.3%。其中,0.9%是短暂的和可逆的。并发症包括:
(1)穿刺部位出血或血肿:这是最常见的并发症,多因穿刺部位压迫止血不当或凝血功能异常所致。
(2)过敏反应:部分患者对造影剂过敏,可能出现皮疹、呼吸困难等症状。
(3)血栓形成:导管在血管内操作时可能导致血栓形成,血栓脱落可能导致栓塞事件。
(4)血管损伤:导管在血管内操作时可能损伤血管内膜,导致血管狭窄或闭塞。
(5)造影剂肾病:对于肾功能不全的患者,造影剂可能导致肾脏损伤。对于肾功能正常的患者,造影剂是非常安全的。
通过造影前的常规检查和造影后的密切观察,大部分并发症是可以预防和控制的。
脑血管造影后术后康复及护理
(1)穿刺部位护理:术后压迫穿刺部位进行止血,并观察穿刺部位是否有出血或血肿。
(2)休息与活动:
术后患者应适当休息,避免剧烈运动。同时,穿刺部位为股动脉时应保持穿刺侧下肢伸直并制动12小时,以防止出血和血肿形成。
刺部位为桡动脉术后术侧肢体略高,勿下垂。一般术后6h后去除桡动脉压迫器,八小时以内不能做屈腕运动,负重运动。术后观察穿刺点有无肿胀,压痛,出血等。
(3)饮食调理:术后患者应保持清淡易消化的饮食,多饮水以促进造影剂的排泄。
(4)心理调适:术后患者可能出现焦虑、紧张等情绪,应及时进行心理疏导和千预。
如何预防脑血管疾病?
预防始终是最好的治疗方法。保持健康的生活习惯,避免高血压、糖尿病和高血脂等病症的发生,是预防脑血管疾病的关键。
(1) 保持良好饮食习惯:避免暴饮暴食、高盐或高油脂食物,以清淡食物为主。
(2) 保持良好情绪:不过度激动或焦虑,避免过大压力,适当与人沟通交流。
(3) 适当进行运动:散步、打太极等促进血液循环,预防脑血管疾病。
(4) 定期医院体检:脑血管病症患者定期进行康复锻炼。
(5) 调整不良生活习惯:避免吸烟、饮酒等。
脑血管造影是现代医学中不可或缺的一环,因为它为医生提供了深入探查大脑血管系统的机会。通过这一技术,医生可以更快速、更精确地诊断和治疗脑部血管问题,从而拯救生命和改善患者的生活质量。与此同时,脑血管造影还为研究提供了宝贵的数据,有助于推动脑血管疾病的治疗方法和技术的发展。它也是医学学生的教育工具,使他们能够更好地理解大脑解剖学和血管学。
在探秘脑血管造影的过程中,我们深入了解了这一现代医学的奇妙工具。它不仅改善了病人的生活,还为医学界带来了更多的知识和技术。脑血管造影,它是我们窥见大脑奥秘的魔法之窗,也是医学领域中的宝贵宝石,同时我们可以期待一个更健康的未来。
神经外科门诊信息
卞留贯
主任医师
周四上午,总部院区
赵卫国
主任医师
周二、三上午,总部院区
周三下午,嘉定院区
蔡瑜
主任医师
周一上午,总部院区
周五下午,嘉定院区
林东
副主任医师
周二上午,总部院区
顾威庭
副主任医师
周一下午,嘉定院区
周五下午,总部院区
(具体时间以当天门诊排班为准)
[1]李月芳,崔桂云,肖蓓等.标准化视频宣教在全脑血管造影术围手术期患者中的应用研究[J/OL].护士进修杂志:1-12[2023-10-25].http://kns.cnki.net/kcms/detail/52.1063.r.20231017.1131.002.html.
[2]宁春秀,卜秀群,潘燕华等.新型股动脉止血裤在全脑血管造影术后患者中的应用[J].护士,2023,38(12):1148-1151.DOI:10.16821/j.cnki.hsjx.2023.12.009.
[3]龙建武,王烨,庄再旺.脑血管造影的3D打印技术在颅内动脉瘤患者开颅夹闭术治疗中的应用[J].黑龙江医药,2023,36(03):551-554.DOI:10.14035/j.cnki.hljyy.2023.03.017.
[4]王瑢瑢,许光涛,李贝贝等. 脑血管造影及介入治疗中的综合护理干预效果[C]//榆林市医学会.第二届全国医药研究论坛论文集(二).[出版者不详],2023:7.DOI:10.26914/c.cnkihy.2023.028587.
[5]杨国强,刘东华,刁亚伟等.脑梗死患者急性期全脑血管造影的临床价值分析[J].当代临床医刊,2023,36(02):63-64.
-- END --
撰 文丨陈晨、顾威庭
