最近看到乳腺癌变成全球第一大癌种的新闻,正值花季的小王,更加愁了。洗澡时候无意间摸到左乳有个滑溜溜的肿块,几个月下来还是不见消退,一想起这事,小王总是不安,于是忍不住打电话告诉了妈妈,妈妈听完连夜从外地赶到上海,第二天带小王来做体检。

乳腺超声检查显示,考虑可能是良性的乳腺纤维腺瘤,在体检中,年轻姑娘经常被发现有这种良性病变,不是恶性肿瘤。
什么是乳腺纤维腺瘤?
乳腺纤维腺瘤是乳腺最常见的良性肿瘤,在女性的青春期、育龄期间最容易发生。
主要的临床表现:可以触摸到乳房中活动性较好的肿块,而且多数情况下乳腺肿块是本病的唯一症状,偶伴疼痛,不随月经周期而发生变化。
乳腺的纤维腺瘤起源于乳腺小叶,与雌激素水平失衡或局部乳腺组织对雌激素过度敏感有关,敏感性高的局部组织容易产生乳腺纤维腺瘤。
如何发现纤维腺瘤?
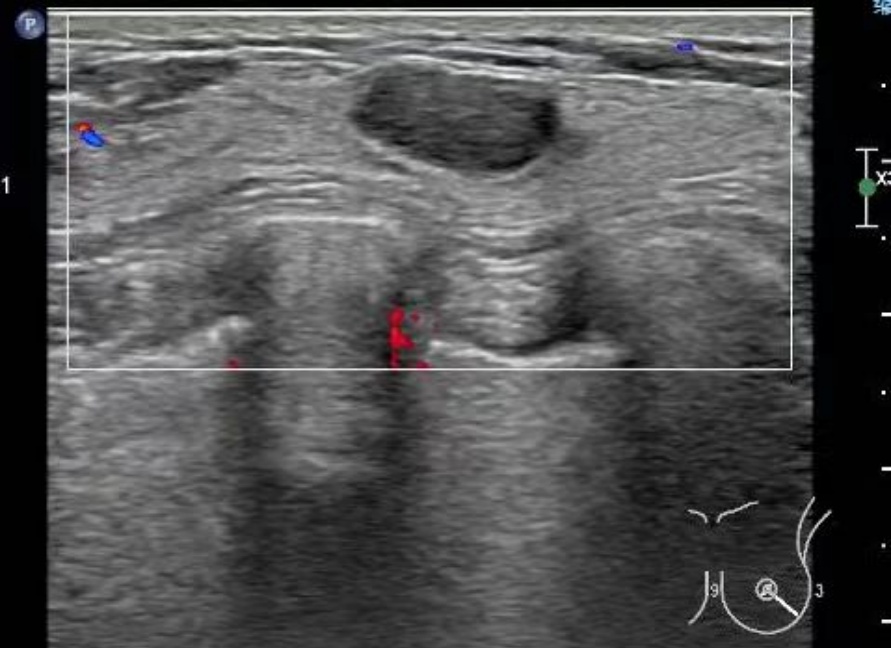
单纯依靠自我触诊来诊断乳腺纤维腺瘤并不可靠,超声检查是检测乳腺纤维瘤的首选手段。
●对于年龄<40岁的女性,推荐医生触诊+乳腺超声检查


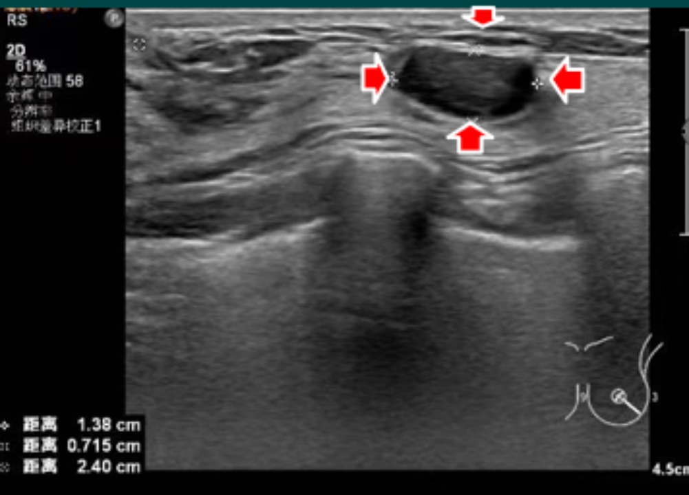
超声提示:右乳低回声结节,边界清,形态规则(考虑纤维腺瘤)
●对于年龄≥40岁的女性,推荐采用医生触诊+乳腺超声+乳腺钼靶检查的方式进行诊断,必要时需要依据具体情况结合磁共振成像和穿刺检查的结果以明确诊断。

钼靶提示:右乳结节(考虑良性病灶)
乳腺纤维腺瘤,是“切”还是“留”?
一般<1cm,不建议手术,但需要3-6个月进行1次随访,若无变化可以改为1年1次来医院复查,当然腺瘤出现持续长大还是需要手术介入。
手术一般采用乳腺微创旋切术,对于1-2cm的腺瘤,可以用微创手术;手术切除仅0.3cm,恢复快,美学效果好,也可以减轻腺瘤给患者带来的心理负担。
对于>2cm的纤维腺瘤,建议手术切除病灶,并获得病理诊断进行进一步诊断,但可能留下手术瘢痕。
需要注意:

怀孕有可能刺激纤维腺瘤生长,如果纤维腺瘤依然较大,在怀孕前,建议手术治疗。
平时如何呵护乳腺健康?
在保证饮食均衡、健康的基础上、摄入富含微量元素的食品;减少浓茶酒精、咖啡,同时戒烟及远离二手烟;
尽量保持积极阳光生活态度和稳定的精神状态,避免过多的情绪波动;
养成早睡早起的生活习惯;保持适量的运动能够降低乳腺疾病的发生率(比如:有氧运动、胸大肌锻炼等)。
每月进行一次乳房自检,一般在月经后1-2周为佳;
建议每年1次乳腺超声检查检查及2年一次钼靶为佳。
单纯的乳腺纤维腺瘤本身不是构成乳腺癌的高危因素;请少女们不必过于忧愁!但是如果肿块迅速长大,还是需要尽早就医哦!
作者简介
李美莺,普陀区中心医院健康管理中心、超声主治医生;医院“科普百人计划”第二期成员;擅长腹部超声、浅表超声、血管超声、腔内超声等,尤其在肝脏肿块、甲状腺结节、乳腺结节等方面积累,丰富经验并发表相关文献数篇。
资料:普陀区中心医院
编辑:戴琳
点击下方了解更多
首店云集!小编带你探探普陀这一新晋“网红”
普陀全面升级线上帮办体系
宜川基层党组织深入推进主题教育
普陀这场“摇尾派对”气氛火爆!
跟着普陀的学子们玩转布料生产