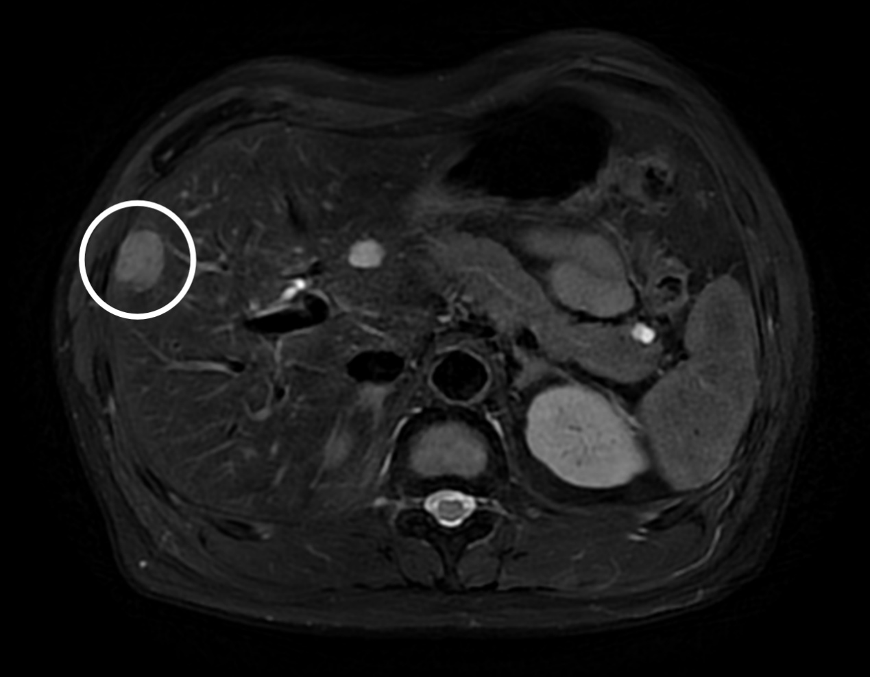
近日,上海市中医医院成功完成了首例腹腔镜肝肿瘤切除手术。患者刘先生(化名)今年45岁,患有多年的慢性乙型病毒性肝炎,一直进行治疗。近期复查时,发现在肝右前叶上段有一枚直径2厘米的异常区域,进一步超声造影检查显示,这块异常区域呈现出恶性肿瘤的“快进快出”特征,尽管刘先生还未出现腹痛腹胀等不适感,他还是听从超声科沈睿主任的建议立即前往该院外二科(肝胆外科)就诊。

外二科(肝胆外科)张敏峰主任接诊后,详细了解了患者病史,认为是肝癌的可能性非常大,建议他立即住院进一步检查,制定手术方案。虽然肝右叶叶上段属于比较困难的手术区域,但是,经过规范化术前评估,张敏峰主任团队还是一致认为有实施腹腔镜微创手术的条件。
手术当天,由张敏峰主任、辛海贝副主任医师、张海东住院医师组成的手术团队,在麻醉团队个性化、中西医结合麻醉下,手术操作过程非常顺利,通过精准解剖,切肝操作时间仅用了20分钟,出血控制在5毫升左右,达到了“无血化断肝”的标准。
术后经过护理团队采用的快速康复理念精心护理,刘先生术后当天就拔除了胃管;术后第一天拔除导尿管,开始进食、下床活动;术后第二天拔除腹腔引流管;术后第四天便顺利出院了。

据悉,上海市中医医院肝胆外科团队师承我国肝胆外科之父吴孟超院士,长期从事肝胆疾病的外科临床与基础研究。能完成肝胆外科各级手术,尤其是恶性肿瘤高难度复杂手术及微创外科治疗,擅长肝胆外科围手术期快速康复技术的临床应用。
专家提醒,肝癌早期的隐秘性非常强,60%的患者发现肝癌时就已经是晚期。像刘先生这样早期发现,获得根治性手术治疗的是比较幸运的。所以乙肝患者一定要积极治疗、定期检查,一方面能降低癌变的概率,另一方面如果不幸患癌,也能做到早期发现早期治疗。