高龄老人也能做高难度心脏手术,“不开胸换心瓣”! 95岁、75岁老人两位老人在新华医院心内科李毅刚教授团队的帮助下成功实施高难度经导管主动脉瓣置换术——解决“心头大患”!

新华医院心内科近日成功完成两例高难度导管主动脉瓣膜置换术(TAVR)。
第一例手术是对一位95岁的患者董大爷进行的。
董大爷作为一位高龄老人,此前身体状况一直良好。然而,在过去的一年里,他多次出现胸闷、心慌、活动后气促的症状,并且还发生了3次意识丧失,这不仅影响了他的生活质量,还对他的生命安全构成了严重威胁。
通过系统性检查,医生发现董大爷的心脏主动脉瓣存在重度关闭不全,并且左室射血分数明显下降。
新华医院心血管一科李毅刚主任解释说,心脏瓣膜是控制心腔内血液流动的重要结构,而主动脉瓣则是心脏出口的总阀门,负责向全身各脏器提供有效的血液供应。
严重的主动脉瓣病变会对人体产生重要的影响,严重的病例可能出现胸痛、晕厥、呼吸困难、心功能衰竭甚至猝死。对于像董大爷这样的患者,如果不及时干预和治疗,病情将进一步加重,预后有差,因此建议尽早进行手术治疗。
然而,由于董大爷已经95岁高龄,难以承受传统的外科开胸手术,因此经导管主动脉瓣膜置换术(TAVR)成为了他目前最适合的治疗方案。
根据欧美国家发布的指南,TAVR术是针对高龄、传统外科手术风险较高的患者的首选甚至唯一治疗手段。相较于传统手术,TAVR手术具有术后恢复快、住院时间短、切口感染率低等显著优点。
在充分商议后,董大爷及其家人决定接受这种治疗方法。尽管心内科的李毅刚团队之前已经进行过多例TAVR手术,但这次他们面对的是一位超高龄患者,因此各方面的准备都需要更加谨慎和严苛。
在李毅刚主任的指导下,心内科的李毅刚教授和孙健教授与心脏外科、麻醉科、导管室、超声医学科、放射科、重症监护室、护理部等多学科团队紧密合作,进行了精心的准备。他们多次组织术前讨论,制定了术中和术后的各项流程安排和应急预案,以确保手术的安全进行。
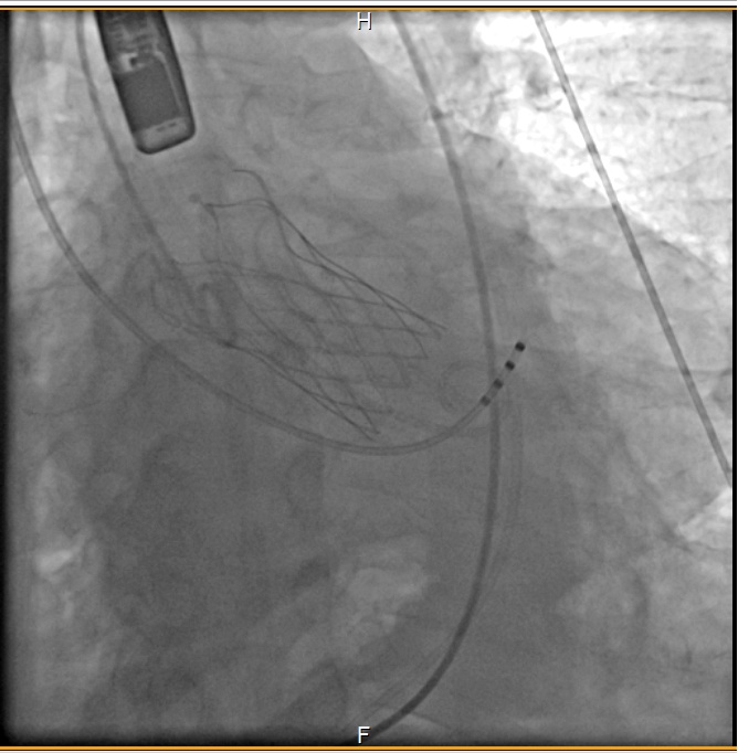
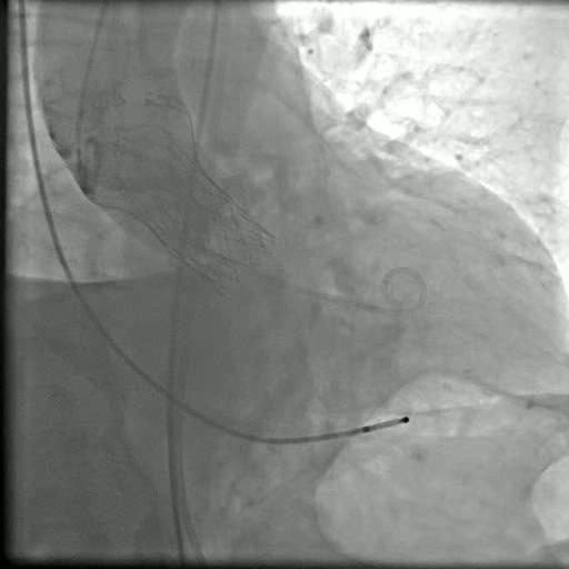
手术按计划进行,历时两个多小时,成功实施经导管主动脉瓣膜置换术,95岁患者董大爷获得新生。


第二位患者杨先生是一位75岁的患者,他患有高血压和糖尿病,并在最近两年出现了走路时胸闷气喘的问题,且症状逐渐加重。一周前,杨先生注意到病情变得更加严重,稍微活动一下就会感到胸闷和气喘,并且他的双腿也肿胀起来。
因此,他前往当地医院就诊,在进行心脏彩超检查后发现他患有主动脉瓣重度狭窄。主动脉瓣狭窄是一种严重的心脏疾病,其特点是心脏主动脉瓣变得狭窄,从而导致血液流动受阻。
这种疾病不仅会引起呼吸困难和胸痛等症状,还可能危及患者的生命。传统的主动脉瓣置换手术需要进行开胸手术,对于年龄较大或存在其他健康问题的患者来说,手术风险较高。因此,当地医院建议他前往上海的三甲医院寻求最佳治疗方法。
杨先生咨询了新华医院的李毅刚主任。李主任查看了他在当地医院进行的心脏彩超报告后告诉他,他的心脏中最重要的“门”无法打开,因此导致心脏无法有效地将血液输送到全身,身体无法获得足够的供血,因此一有活动就会感到胸闷和气喘。
从病情来看,他的情况一直在慢慢恶化,目前心脏功能已经很差,所以出现了双腿肿胀的问题。针对他的情况,需要尽快解决主动脉瓣无法打开的问题。考虑到他已经75岁,并且有高血压和糖尿病等问题,传统的开胸手术风险较大,可以考虑采用微创的经导管主动脉瓣置换手术(TAVR)来解决问题。
TAVR手术是一种非侵入性的介入治疗方法,通过导管将人工瓣膜送达到患者的主动脉瓣位置,取代受损的瓣膜。这种手术方法不需要进行开胸手术,只需通过小切口或血管插管即可完成,大大降低了手术风险和恢复时间。经过杨先生及其家人的商议,他决定住院接受这种治疗方法。
随后,李毅刚主任安排杨先生在新华医院进行了一次心脏彩超检查。专业的心超团队发现,除了主动脉瓣重度狭窄外,杨先生的主动脉瓣还存在畸形。正常人的主动脉瓣具有三个门,而杨先生的主动脉瓣只有两个门,被称为“主动脉瓣狭窄二叶型畸形"。这种畸形会增加手术的难度和风险,但团队经过充分评估后认为可以应对并成功完成手术。
在手术当天,杨先生被送往手术室进行TAVR手术。这种手术需要通过切口或血管插管将人工瓣膜送达到主动脉瓣位置。通过导管的引导下,人工瓣膜被展开并取代受损的瓣膜,恢复了心脏正常的血液流动。手术非常成功,杨先生的主动脉瓣问题得到解决。


两位患者很快都出院,恢复了正常的心脏功能,症状明显减轻,能够进行日常活动而不再感到胸闷和气喘。患者的家人对这个微创手术结果感到非常满意和感激。患者都表示非常感谢新华医院心内科团队解决了他们的“心头大患”。
经导管主动脉瓣置换手术是国际上一种非常先进的技术,对于高难度挑战病例,国内目前仅有少数几家医院能够熟练开展。在此之前,新华医院心内科已进行多例TAVR手术,此次手术的顺利进行,标志着上海交通大学医学院附属新华医院心内科团队对各类复杂的结构性心脏病,特别是高龄、高危复杂的心脏瓣膜病的救治水平已位于国内前列。
科室名片
学科确立的主要研究方向有心律失常的非药物治疗,冠心病的优化治疗,血管生物学和动脉粥样硬化调控机制研究,高血压的临床和基因研究四个主要研究方向,广泛开展了各种复杂的急诊和PCI术、单双腔起搏器及ICD植入、射频治疗各种复杂心律失常的射频消融术,其中对房颤、室速的机制研究与消融治疗、心梗急诊介入治疗、双腔起搏植入最具特色。
率先在国内开展了三维标测系统引导下,环肺静脉隔离术治疗房颤、线性消融治疗室速,成功率高、复发率低,已用于各种房颤、室性心律失常的治疗。在国内率先开展了无放射线精准消融治疗复杂心律失常消融术;导管消融+左心耳封堵一站式介入术预防脑卒中,自2017年起至今连续6年在全球各大心脏中心中居领先地位,累计已超过1800例。7位左心耳封堵术全球带教专家,成为全球带教专家最多的医院。
门诊预约请点击链接
☞:心血管内科门诊