我的位置: 上观号 > 上海交通大学医学院附属瑞金医院 > 文章详情

瑞金病例 | 反复腹痛三年查不到原因?放射科医生发现是这种罕见病…

转自:上海交通大学医学院附属瑞金医院 2023-10-07 18:38:41

一开始以为是更年期

近三年来,48岁的刘女士反复腹痛、恶心,辗转多家医院,均未得到明确的诊治,鉴于刘女士的年纪,大家以为是更年期的综合反应,常常劝她放宽心,保持良好的精神状态,但眼见刘女士的腹部一年痛胜一年,家人这才着急起来。
在他人的建议下,刘女士来到瑞金医院胃肠外科就诊,副主任医师张弢医生接诊后,发现外院的CT结果显示是“左上腹空肠肠壁增厚”,那么,究竟是肿瘤导致的,还是炎症导致的呢?原因不同,治疗方法也大相径庭!为更加准确地找出病因,张医生推荐他再做一个小肠CT。

原来是先天性发育不良!

经过仔细的研读,放射科赵雪松医生发现了端倪——原来,刘女士存在先天性的小肠旋转不良问题,依靠常规的经验来读片可能会“误入歧途”!

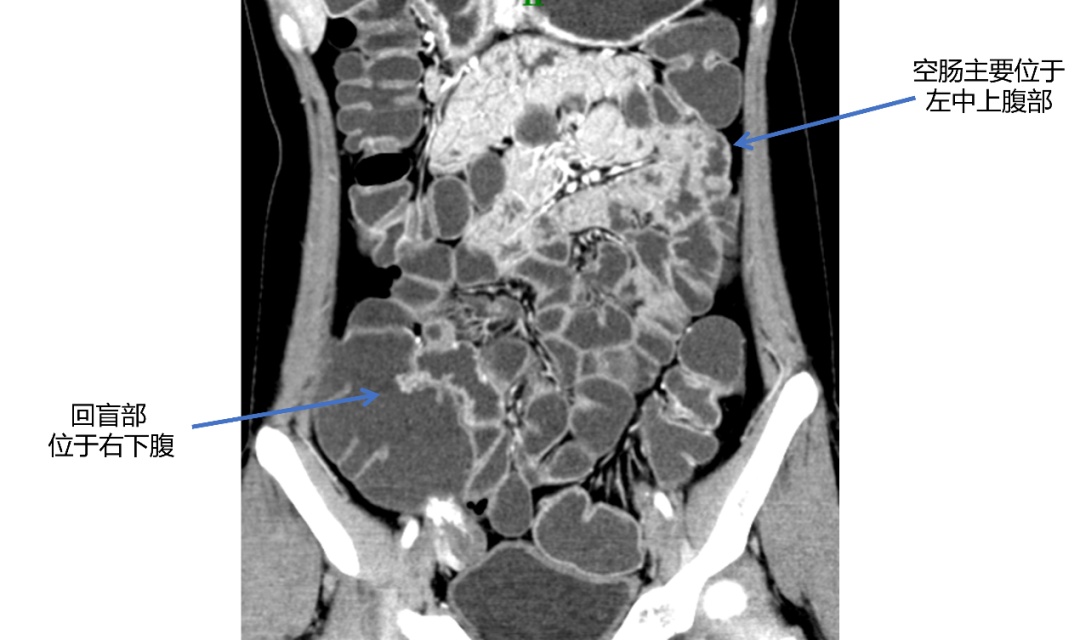
(图1)

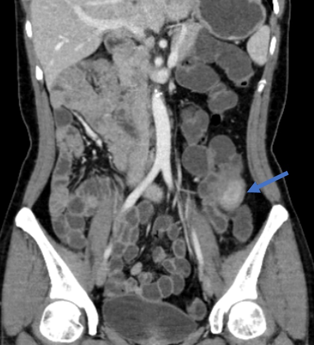
(图2)

“正常人的空肠主要位于左中上腹(如图1),回盲部位于右下腹,而她的空肠在右上腹,回盲部范围位于左下腹的位置,因此定位及定性诊断应为回盲部的一个炎性肉芽肿(如图2蓝色箭头处)”赵雪松医生分析道。

在放射科“火眼金睛”的探查下,胃肠外科张弢医生结合患者病史和病变位置,做出了手术的决定。几天后的手术中,果然发现了她回盲部的炎性肉芽肿,及时进行了手术,避免了错误的手术定位以及其继续生长可能造成的肠梗阻等问题。术后一周不到,刘女士便顺利出院了,回归正常饮食状态的她感到无比庆幸,她笑着说“还是瑞金医院的平台强大!在多学科的合作努力下,成功帮我找到了隐藏多年的病因……”

据放射科主任严福华教授介绍,先天性小肠旋转不良是一种先天性肠道畸形,常常发生在胚胎期肠发育的过程中,很容易发生误诊、漏诊的情况,因此在读片时要仔细观察肠管的位置,否则容易做出错误的解剖学定位。

放射科不仅有“小肠姐姐”,

还有“朱大肠”、“杜骨头”们……

瑞金医院放射科长期致力于各个亚专业学科的建设,师从缪飞教授的赵雪松医生更是自2008年以来,一直专注于小肠影像,科里的人都戏称她“小肠姐姐”。据了解,这样的外号在放射科还有很多,有精于直肠癌研究的“朱大肠”朱兰、擅长骨科图像分析的“杜骨头”杜联军,还有神经影像团队的“RING贺娜英(Ruijin Imaging Neuroscience Group)等。

作为临床医生背后的“侦察兵”,他们日复一日地仔细研读X线,CT,磁共振这些光影神奇的“魔法”,以扎实的医学知识和丰富的实践经验,解读这些影像的蛛丝马迹,帮助患者最大程度减少痛苦,加快恢复时间。他们每天都在“看图说话”,仔细辨明什么是符合适应症的检查,什么是标准合格的图像,仔细观察图像后,深入分析,不放过任何一处细节。遇到一些与临床医生判断不一致的问题,他们及时沟通、交流、讨论,对每个病例进行随访、回顾,从中汲取经验教训。

“放射医生必须是全科医生,要从头顶看到脚指头,熟识重要脏器的解剖,病理,生理。”严福华主任常常这样教导他们,如今,瑞金放射科形成了一支严谨认真、不断开拓创新的青年医师队伍,他们在各个亚专业的方向上精益求精,在国内外的学术舞台上大放光彩。

门诊时间

放射科严福华主任
特需门诊 周四上午

放射科缪飞主任医师
特需门诊 周五上午

放射科赵雪松医生参加的MDT

炎症性肠病MDT 周三下午

消化道动力MDT周四上午

肠道肿瘤MDT 周四中午

胆胰疾病MDT 周四下午

胃肠外科张副主任医师
专家门诊 周三下午、周五下午
结直肠专病门诊 周一上午

撰文:张子晴