
当我们向年迈的父母嘘寒问暖时
真的了解他们是否
吃得好、吃得香吗?
老年人的口腔健康
直接关系到
身体的健康和生活的体验
更应该得到关注
老年人口腔疾病的患病率高、发展速度快、自我修复能力弱。因此老年人需每年至少进行一次口腔健康检查,提倡每年洁牙一次,有利于早发现、早治疗口腔疾病。医生还会根据情况,采取适当的预防措施,防止口腔疾病发生、控制口腔疾病发展。
人老掉牙不是必然规律,老年人只要口内还有牙齿就应每天早晚刷牙,晚上睡前刷牙更重要。刷牙时不可大力横刷,以免损伤牙齿和牙龈。老年人需根据牙缝大小选用邻面清洁工具,牙龈萎缩不明显者可选用牙线。牙龈萎缩、有明显牙缝者,可选用牙间隙刷,并根据牙缝大小选择不同型号,使用时不要勉强进入,以免损伤牙龈。
预防根面龋可采取局部用氟方法,如使用含氟牙膏刷牙,定期到医院接受牙齿涂氟等。合理膳食也很重要,控制甜食摄入总量和频率,多吃新鲜蔬菜与水果。另外需要提醒的是,出现根面龋应及时治疗。
关注牙龈出血和牙齿松动,预防牙周疾病
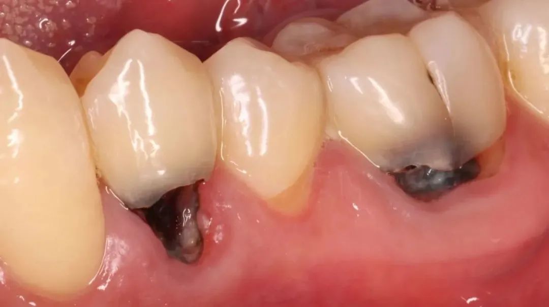
牙周疾病是导致牙齿缺失的主要原因。如果牙齿清洁不到位,会有牙菌斑堆积,久而久之,牙龈发炎,牙槽骨吸收,牙齿松动,最终脱落。
如果老年人有牙龈红肿出血、口腔异味、牙齿松动与移位等问题,需要警惕,应及时就诊,积极治疗牙周疾病,尽量保留天然牙。
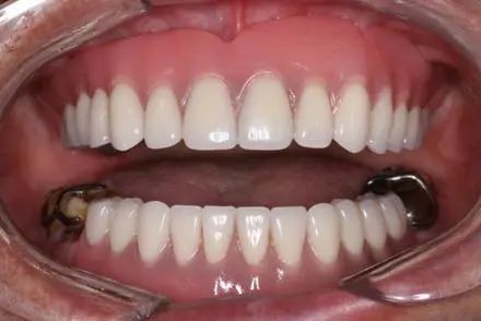
拔除无法保留的牙齿,及时修复缺失牙
老年人如果有无法保留的牙齿应及时拔除,如残留的牙冠、牙根或特别松动的牙齿,否则轻者影响口腔功能,重者引起全身感染,影响生活质量。老年人牙齿缺失后要及时修复,以维持牙列完整,恢复口腔基本功能,一般在拔牙2~3个月后进行修复。修复缺失牙的方法有活动修复、固定修复、种植修复。
关注口腔黏膜变化,防止发生口腔癌
老年是口腔黏膜疾病高发年龄,老年人应关注口腔黏膜变化,发现口腔内有两周以上没有愈合的溃疡,口腔黏膜有硬结、白色或红色斑块等异常表现后要及时就医。
如果口腔黏膜长期受到不良刺激或有烟酒嗜好,容易发生口腔白斑甚至口腔癌。因此应早期预防,戒除烟酒嗜好,不嚼槟榔。
如果您不想错过“今日闵行”,记得“星标”,并多点“赞”和“在看”,这样,每天新文章推送,就会第一时间出现在您的订阅号列表里啦:)
