水是生命之源,一切生命都离不开水的滋润。那么你知道吗?我们的身体就像一个超大的蓄水库,水分占了体重的大约60%。水对于人体非常重要,它是珍贵的独一无二的万能溶剂,可以参与生命运动、排除有害毒素、帮助新陈代谢、维持有氧呼吸等等。如果人体长期没有摄入水源的话,就很容易形成结石,肾结石的危害相信大家都不陌生吧。疼也就算了,如果不及时治疗的话就容易导致结石堵住尿道,这就会引起另一种更危急的病症了,那就是今天我们要说的——尿源性脓毒血症。乍一听这名字会觉得很陌生,别急,来看看下面这个例子,你就知道它有多可怕了。
六十五岁的侯先生平时身体素质还不错,虽然已过古稀之年,可是侯先生却没有那些老年性的基础疾病。但是突然有一天,侯先生突发高烧,体温最高可达 40.5℃,在排尿的时候还会有疼痛感,此外还伴有畏寒、寒战、咳嗽等现象,家里人马上送去了当地诊所,在使用“头孢美唑、热毒宁”静脉滴注后,并没有明显的好转,仍有反复高热,这才叫了救护车送到医院急诊。入院后,先是对侯先生进行了一个简单的体查,发现除了左侧肾区有轻度叩击痛以外,其他都还好。根据之前的治疗情况和现在的病症表现,我们高度怀疑侯先生是尿路梗阻感染引起的脓毒血症休克,马上安排了全面的检查。


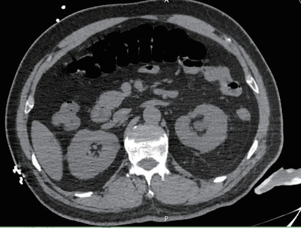
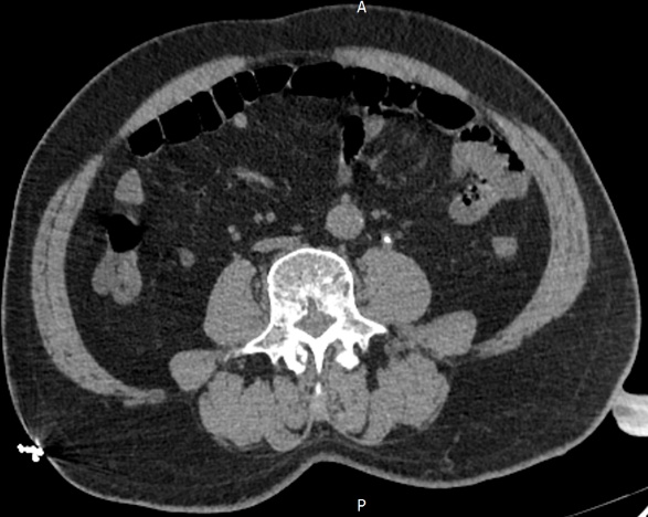
根据检查结果,最终以“泌尿系 CT 示左侧输尿管腹段结石(直径3mm)伴左肾盂积水及上段输尿管扩张”的诊断将侯先生收入住院,并告知家属侯先生的病情是十分危险的。
侯先生入院后,我们也是第一时间召开了专家会诊,在符合手术条件的情况下对侯先生进行了全麻下行左侧输尿管镜检查和输尿管支架管置。术后转入ICU病房积极监测,同时予以抗炎支持治疗。在手术之后,体温终于恢复正常,各项生命体征良好,予以出院。
像上述文章里提到的侯先生就是尿源性脓毒血症最典型的症状,有高烧、寒战这些情况。泌尿系CT平扫示左侧输尿管腹段结石伴左肾盂及上段输尿管积水。考虑尿路梗阻感染引起的脓毒血症休克。
尿源性脓毒血症的好发人群多为老年人,以及一些有糖尿病的中老年患者,他们大多表现为突发的腹痛向腰背部放射,伴寒颤、高热,也有部分没有明显腹痛。但是,部分患者来院时已经是休克状态,随时都有生命危险,需要重症监护、积极抢救才能脱离危险。然而这一切的根源仅仅是一粒粒小小的石头,却真的能够危及生命。
对于尿源性脓毒血症我们可以简单地理解为是由于结石堵住了尿液流出的通道,含有细菌毒素的尿液返回到血液当中,并随着血液流动带到全身各处,进而引发一系列的并发症。

什么是尿源性脓毒血症?
尿源性脓毒血症是由泌尿道感染引起的脓毒血症,其病程短,病情重,处理不及时可危及生命。泌尿系梗阻是引起尿源性脓毒血症的首要原因,解除泌尿系梗阻,在治疗过程中尤为重要,在一期治疗中可暂时放置输尿管支架或经皮肾穿刺造瘘。同时,在血培养的基础上,选用敏感抗生素抗感染治疗,维持血流稳定、改善灌注,解除患者休克症状,逆转器官功能损害。血管活性药物及糖皮质激素的应用也同样重要,通常应用于患者休克早期。在治疗过程中,积极处理感染性休克常伴有不同程度的心、脑、肺、肝功能的损害,避免多脏器功能衰竭和血管内凝血的发生。
图文 | 泌尿外科 罗华荣
编辑 | 沈珏
校审 | 谢壮丽