见到王先生时,他正站在窗边呼吸新鲜空气,这是他肺移植手术后的第三天。作为瑞金医院“广聚善爱”器官移植专项慈善基金受助的患者,王先生成功实施了右侧肺移植手术。“真没想到恢复这么快,这么好!”他的妻子哽咽说道:“谢谢瑞金医院,谢谢李主任和医生护士们!”

肺移植术后三天,王先生站在窗边呼吸新鲜空气
01
反复咳嗽气喘无法起身,终末期尘肺生机渺茫
“身体不好时,不停咳嗽气喘,走路睡觉都很困难,很痛苦。我们家乡很多人,年纪轻轻就因为这个病去世了。”回想起病重的日子,王先生宛如噩梦。
44岁的王先生从事花岗岩相关工作20余年,常年直接接触粉尘,且保护意识薄弱,未佩戴口罩。2021年开始,他出现呼吸困难,并逐渐加重,今年春节后已无法从事一般体力活动,胸闷胸痛严重,辗转多家医院症状仍反复发作,直至无法脱氧生活。经亲友介绍,家人带着已不能起身的王先生,驱车2天从云南赶来瑞金医院就诊,希望求得生机。
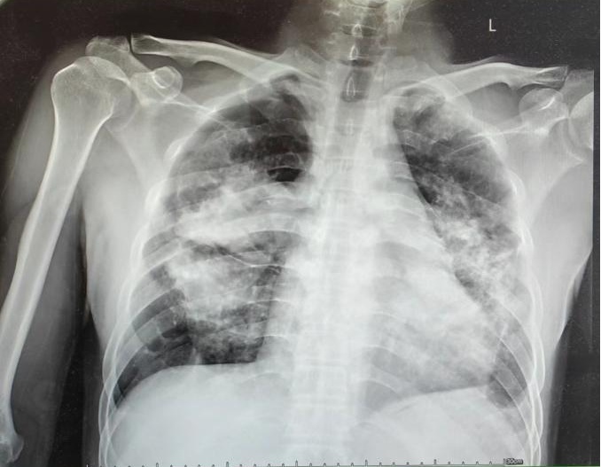
入院检查,发现王先生吸氧时血氧饱和度90%以下。胸部CT检查显示右侧气胸,两肺多发斑片、结节及团片影,左肺肺大疱,肺动脉增宽,纵膈及双侧肺门淋巴结增大,诊断为终末期尘肺,如果不立即进行治疗,患者极有可能因呼吸衰竭而死亡。肺移植手术成为唯一且有效的治疗手段。

患者术前胸部影像
“肺移植是胸外科领域的高难度手术,也可以说是所有器官移植中难度最大的一种。肺时刻与大气直接相通,外界的微生物会造成移植肺的感染几率增加,手术本身的难度和术后感染控制、排异反应等问题,比其他器官移植更加有风险。”胸外科李鹤成主任解释说。术前,肺移植团队积极完善检查,为王先生制定了个性化诊疗方案,开展呼吸雾化、气胸治疗等施救措施,确保万无一失;同时,组织呼吸与重症医学科、麻醉科、重症医学科、营养科、康复科等科室进行多学科会诊,制定周详的手术方案和术后管理预案,等待肺源,为随时手术做好准备。
02
多学科支撑护航,肺移植手术挽救生命
6月23日,感谢捐献者的大爱,王先生等来了爱心供肺。肺移植手术缺血时间要求短,最佳“保鲜期”只有6个小时,较长的缺血时间回导致供肺质量下降,影响移植效果,这是一场与时间赛跑的生命接力手术。因此得到信息,李鹤成主任立即启动预案,进行患者安排、供体获取和手术协调;杜海磊医生和我院opo专员邢磊医生迅速赶赴广西,马不停蹄取回了这颗宝贵的右肺。
开胸、切除病肺、植入供体肺、缝合肺动脉、冲洗胸腔......李鹤成主任亲自操刀,带领肺移植团队以精湛医术和丰富经验实施手术,整场手术行云流水、配合密切。麻醉科、输血科、手术室团队通力协作,历时4个多小时,伴随着新鲜的肺在胸腔一张一合,手术顺利结束。

瞿介明书记看望王先生,祝他早日康复
术后24小时,王先生顺利拔除气管插管,术后第三天,从重症监护室转回普通病房。手术治疗是第一步,移植成功后患者还要度过术后感染和排异等难关。术后气管镜下吸痰处理、感染控制、营养支持、控制血糖......联合多学科,王先生每一项治疗都有条不紊,术后感染和排异得到很好控制。“不止多学科合作,考虑到病患家境困难,我们特地帮他联系到了广聚善爱慈善基金进行帮助,更联系了云南前来瑞金进修的医生,将持续指导监护患者出院返乡后的治疗,全力以赴保障患者尽快康复。”李主任介绍。
“谢谢,感觉像做梦一样。”王先生满怀感恩对医护们不停说着“谢谢”。从终末期尘肺到成功移植,现在王先生已经顺利出院了。

术后王先生下床活动自如,恢复良好
“越早做肺移植,生存率越高,生活质量改善越好。一旦有肺移植指征,建议患者尽早治疗和手术。”李鹤成主任表示,这是肺移植团队自主完成的肺移植手术,依托医院强大的综合实力,胸外科不断挑战、迎难而上,希望今后为众多终末期肺病患者带来新生希望。
李鹤成主任医师
周一上午、周四上午
杜海磊副主任医师
周四下午、周六上午
陈学瑜副主任医师
周六下午、周日下午
肺移植专病门诊
周四上午
欢迎转发点赞
文、编I 祁洁