
本期介绍的MRI(磁共振成像)成员,叫它“化学位移成像”大家或许会觉得些许陌生,但当提到同反相位、水脂分离、Dixon、IDEAL等名词时,想必大家多多少少都有过了解,但它具体是怎么工作的,在解决临床问题的实践中有什么特殊的才能,也许大家并不完全清楚。今天我们就为大家介绍一下化学位移成像(chemical shift imaging,CSI)这一磁共振成像技术。
01
概述及原理阐述
1984年,Tomas Dixon在Radiology上发表论文Simple Proton Spectroscopic Imaging,提出了传统的两点式Dixon方法。其原理为:人体中MRI信号的主要来源是自由水和脂肪组织中的氢质子,而水和脂肪组织中氢质子的周围电子云分布不同,使得水中氢质子的进动频率稍快一些,所以在频率选择上形成了化学位移。
让我们用一个通俗的例子来理解一下其大概意思:比如,水中氢质子H1(W)和脂肪中氢质子H1(F)这两位运动员一起围绕着操场跑步,其中,水中氢质子跑得更快一些,因此它会一圈又一圈地超过脂肪中氢质子。当它超出脂肪中氢质子正好一圈或n圈时,也就是两位运动员重合的时候,我们称之为同相位,此时从水和脂肪中氢质子采集得到的信号是相加的,即同相位信号强度SIP=W+F;而当水中氢质子超出脂肪中氢质子正好半圈时,我们称之为反相位,此时从水和脂肪中氢质子采集得到的信号是抵消的,即反相位信号强度SOP=W-F(图1)。

图1:两点式Dixon原理示意图。H1(水)代表水中氢质子的运动,H1(脂肪)代表脂肪中氢质子的运动。
当我们通过上述方式得到同反相位的数据之后,还想得到纯水和纯脂的数据怎么办呢?其实很简单,将同反相位的信号强度SIP和SOP相加,得到的就是2倍水(W)的信号强度,再除以2就是水(W)的信号强度啦。同理,将同反相位的信号强度SIP和SOP相减,再除以2就可得到脂肪(F)的信号强度啦。因此,通过这样的简单运算,我们可以得到单独的水(W)和脂肪(F)的信号,从而达到了水脂分离的效果。在此基础上,还可进一步计算得到质子密度脂肪分数(PDFF),即用脂肪的信号强度(F)来除以水脂的信号强度之和(W+F)。
02
同反相位图像特征
同相位图像即普通的T1WI,其主要特征体现于反相位图像:
1、相比于同相位图像,反相位图像中水脂混合组织信号明显衰减:组织中均含一定比例的水和脂肪,使得两者抵消的较多,因此信号明显衰减。
2、相比于同相位图像,反相位图像中纯脂肪组织信号没有明显衰减:如皮下脂肪、肠系膜、网膜等,其信号来源主要是脂肪,所含水分子极少,两者抵消不明显,因此在反相位图像上信号衰减不明显。
3、勾边效应:在反相位图像上,富含脂肪组织的脏器边缘常出现一条黑线,把脏器的轮廓勾勒出来。这是由于脏器的MR信号一般来自于水分子,而周围脂肪组织MR信号主要来自于脂肪,所以在反相位图像上,脏器和周围脂肪组织的信号下降都不明显,而两者交界处同时有水分子和脂肪,信号明显降低,从而出现勾边效应。
以上三点看似玄乎,其实仔细一想,反相位图像不就是“做减法”嘛。它是水的信号和脂肪的信号互相抵消后的结果,那么脂肪含量很少或接近纯脂的组织,它们中水和脂肪的含量差异巨大,因此在互相抵消之后,并不会有太大的变化,即在反相位图像上表现为信号不会明显下降。我们可以用数字进行一个简单的举例。例如,水的信号是99,脂肪的信号是1,那么同相位上它显示为99+1=100,而反相位上它显示为99-1=98,相比于同相位100,反相位98仅仅下降了2,这就是信号没有明显衰减。同理,当水的信号为60,脂肪信号为40时,反相位就只有60-40=20了,相比于同相位60+40=100,整整下降了80,这就是信号明显衰减。
03
临床应用
自问世以来,化学位移成像经历了多代的发展、改良,从原始的两点式Dixon技术到三点式Dixon技术,再到多回波Dixon序列的提出,包括 IDEALIQ(GE)、mDixonQuant(Philips)、Live Lab(Siemens)等,进一步提高了脂肪定量测量的准确度和扫描速度,并可在一次采集中获取多幅图像,目前已在多种疾病的临床及临床研究中得到应用。化学位移成像可正确识别病灶中是否含有脂质成分,对缩小鉴别诊断范围以及对病灶作出及时准确的定性诊断具有积极的作用。
1、脂肪肝的诊断及鉴别诊断
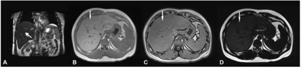
脂肪肝是一种常见的肝脏病理改变,即肝细胞内积累了过多的脂肪,因此在反相位图像上,脂肪浸润的信号比同相位图像的信号强度明显下降(图2),其诊断敏感性超过常规MRI和CT。此外,有研究对多回波Dixon技术测得的PDFF与组织病理学脂肪含量进行了相关性分析,证实了其在脂肪肝分级诊断中的价值。欧洲肝脏研究协会已将PDFF作为一种可诊断肝脏脂肪变性的无创性参考指标纳入非酒精性脂肪性肝病(NAFLD)的指南当中。基于多回波Dixon技术得到的PDFF可重复性好,可实现脂肪的精确定量,适合对病情长期随访,但目前尚缺乏统一的标准值或范围来界定脂肪肝程度及确定临床治疗终点。

图2:一名脂肪肝患者的CSI。a)冠状位T2加权成像显示肝脏体积轻度增大,相比脾脏呈低信号;b)肝实质在同相位上呈高信号;c)肝实质在反相位上呈低信号;d)由于脂含量增高,脂图上呈稍高信号。
2、腹部其他含脂病变的诊断与鉴别诊断
①判断肝脏局灶病灶内是否存在脂肪变性:肝脏局灶病变中发生脂肪变性主要见于肝细胞腺瘤、肝局灶性结节状脂肪浸润、含脂肝细胞癌等。
②肾脏或肝脏血管平滑肌脂肪瘤等含脂病变的诊断和鉴别诊断:肾脏血管平滑肌脂肪瘤(AML)是肾内最常见的含脂肪肿瘤,由不同比例血管、平滑肌和脂肪组织构成。95%的AML为富脂肪型,可通过CSI对富脂肪型AML与肾透明细胞癌进行鉴别。
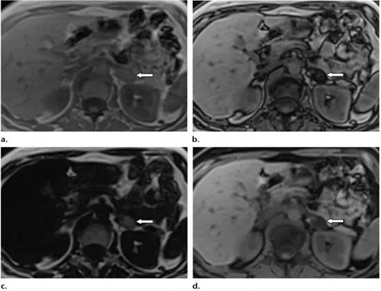
③肾上腺病变的鉴别诊断:肾上腺腺瘤是发生在肾上腺皮质最常见的肾上腺肿瘤,其肿瘤细胞含有大量细胞内脂质。典型表现是反相位图像上的均匀信号明显下降(图3)。其敏感性为70~80%,特异性可达90~95%。

图3:一例典型肾上腺腺瘤患者的CSI。与同相位图像a)相比,反相位图像b)中病变(箭头)的信号强度较低;病变在纯脂图c) 上具有高信号强度,在纯水图d) 上具有中低信号强度。
3、骨关节系统疾病的诊断与鉴别诊断
椎体骨折作为临床上比较常见的疾病,依据骨质疏松、外伤、肿瘤等因素可划分性良性骨折和恶性骨折。传统采用MRI进行鉴别虽然具有一定的效果,但仍然有部分患者的常规T1、T2像上表现类似,难以有效鉴别。化学位移成像能够定量分析组织中的脂肪,有助于椎体骨折的良恶性诊断。恶性椎体骨折的骨髓被逐渐被肿瘤细胞代谢,反相位不会表现出明显的信号减低;而良性椎体骨折的骨髓则主要是被水肿浸润,骨髓中脂肪成分被保留,可出现明显的信号降低(图4)。此外,化学位移成像还可用于骨髓局灶性病变的鉴别、骨髓水肿区小梁间骨折的检出、反映椎体脂肪含量变化等方面。

图4:一例L4椎体骨质疏松压缩性信号异常。a) T1WI示L1椎体前部呈略低信号,椎体后部为正常骨髓信号;b) 反相位图示L1椎体前部呈低信号;c) 同相位图示L1椎体前部呈略高信号。
化学位移成像因其方便、快捷、可准确测量脂肪定量值等优点,已在全身多部位的脂肪含量评估中被广泛运用。脂肪含量的准确测定对于疾病的诊断和评估具有重大的参考意义。
图文 | 医学影像科 蒋昱焘 任席慧
编辑 | 赵思思 王北墨
校审 | 谢壮丽
