近年来,随着大众健康意识的逐渐提高,人们对消毒剂的关注和使用频率也明显增多,有些人不仅养成日常洗手、物品消毒的卫生习惯,甚至还会使用消毒液清洁衣服。但是如此爱干净,却还会发生皮肤上脏脏的情况,这是怎么回事?
李女士(化名)近期一直饱受着皮肤疾病的困扰,她的腋下以及肩胛区的皮肤看上去脏脏的,像没洗干净。她想不明白自己明明很爱干净,衣物清洁日常也用消毒液,为什么皮肤还是这么黑,到多家医院求医,李女士的皮肤问题没有得到改善。
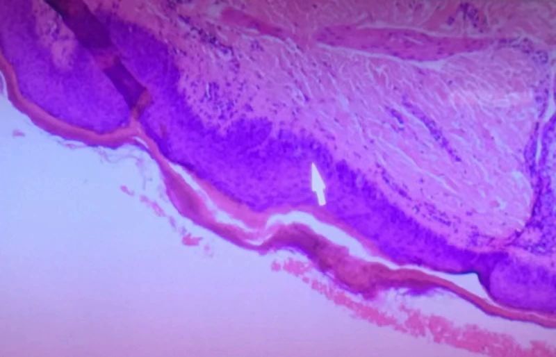
近日她来到上海市皮肤病医院就诊,做了皮肤的活检,病理科主任刘业强看诊后发现问题的罪魁祸首就是李女士经常使用的消毒液。这是一种含有苯扎溴铵的消毒液,长期使用此消毒液浸泡或者清洁衣服,诱发其导致一种叫“颗粒状角化不全”的皮肤疾病。

刘医生介绍,“颗粒状角化不全”这种皮肤病临床比较少见。如有发生,则好发于间擦部位,常见于腋窝、腹股沟,也可见于肩胛区、腰部、臀部、乳房周围等部位。典型临床表现为初期以红斑为主,后期红斑可扩大并伴随表皮坏死脱屑,再经历数日至数周后红斑消退并遗留局部的脱屑和色素沉着,瘙痒程度不一。

“颗粒状角化不全”皮肤病的确切病因和诱因目前仍不明确,相对多见于外用除臭剂或止汗剂、消毒剂的人,病理表现为角化不全伴角质层透明角质颗粒残留。李女士所用的消毒液含有苯扎溴铵。这是一种表面活性剂,因为有灭菌作用,而且刺激性低,经常会用于消毒剂和洗涤剂中。既往文献表明,其有效成分浓度为70g/L或以上的苯扎溴铵容易导致疾病。据介绍,针对“颗粒状角化不全”的治疗需要停用消毒液,辅以糖皮质激素或保湿剂的外用,疗效不一。
皮肤的最主要保护屏障主要由角质形成细胞和细胞间脂质组成,形成所谓的“砖墙结构”。频繁的清洁、长期的消毒会破坏皮肤屏障的正常结构,引起皮肤稳态破坏、表面菌群变化,更易引起耐药菌感染和院内感染,从而使皮肤更“脏”。
刘业强医生提醒,并不是所有含有苯扎溴铵的消毒剂都会导致疾病的发生,存在个体化的差异。日常清洁及杀菌时,需要关注消毒剂或消毒液的浓度、有效成分,选用正规厂家产品,并避免过度使用。另外,出现皮肤问题时,请及时到医院就诊寻求医生的帮助。
资料来源于上海市皮肤病医院
部分图片来源于网络
撰稿:程清慧
编辑:高 琴
责编:颜文彬
*转载请注明来源于“上海长宁”