半月板病变一直是膝关节手术的头号手术适应症。尽管现代膝关节手术会力图保留半月板,但大多数原发性半月板手术都会造成半月板部分或全部切除。在文献研究中,半月板手术修复后继发性半月板切除术的比率仍高达50%。
就中长期来看,半月板的损伤会导致关节软骨无法承受该压力,从而导致软骨退行性损伤。此外,我们也了解骨关节炎的进展与半月板切除程度间存在的关系。因此,如何保留半月板对防止软骨损伤与软骨手术至关重要。
半月板损伤或者缺失会导致严重的骨关节炎、关节的退化,最后造成关节功能的丧失。对于这类患者,一般采取口服或注射药物治疗,如非载体的消炎药;有些可以做关节镜的清理手术;对于年老的患者,如果特别严重,还可以做关节置换手术。但是对于年轻患者,以上这些治疗的效果年轻人是很难接受的,那么,同种异体半月板移植就成为了这类半月板缺失患者的福音。
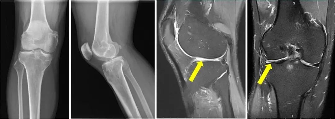
近期,同济大学附属同济医院骨关节外科中心程飚主任接诊了多位半月板缺失的年轻患者。患者冯某某,男性,41岁,4年前因右膝前交叉韧带断裂+半月板损伤,于当地医院行关节镜下右膝ACL重建术+半月板切除术。在半年前患者自觉右膝关节疼痛,活动时加剧,慕名来到上海市同济医院骨关节外科中心/运动医学科找到程飚主任团队,程飚主任经过仔细询问病情,全面查体后给予完善了右膝关节MRI,结果显示右膝关节外侧半月板缺失,外侧间隙狭窄,伴有轻度骨性关节炎出现。

术前影像学资料显示患者外侧半月板缺失,
外侧间隙狭窄
考虑到患者现在只有41岁,软骨损伤尚不重,患者保膝治疗的意愿非常强烈,程主任全面衡量后,决定为患者实施同种异体半月板移植术。 同种异体半月板移植术主要用于治疗半月板切除术后患者膝关节疼痛持续存在或者骨性关节炎加重。由于供体的限制,这一技术在国内开展相对较晚,累计病例数也十分有限。经过多年的努力,上海市同济医院运动医学科程飚教授团队已经成功移植超过150余例,为广大患者带来了福音。
半月板移植的适应证为:
(1)半月板切除术后残留关节间隙疼痛或不适;
(2)在行膝关节稳定性重建手术时,已有半月板缺损,可能会造成膝关节不稳,可以同时行半月板移植手术。
半月板切除术后无症状的患者、及膝关节外侧间室出现KL-III度以上的骨关节炎和广泛的软骨损伤时,不建议进行半月板移植。

所移植的半月板假体

引入同种异体半月板,缝合器固定,镜下显示移植物与受体匹配良好

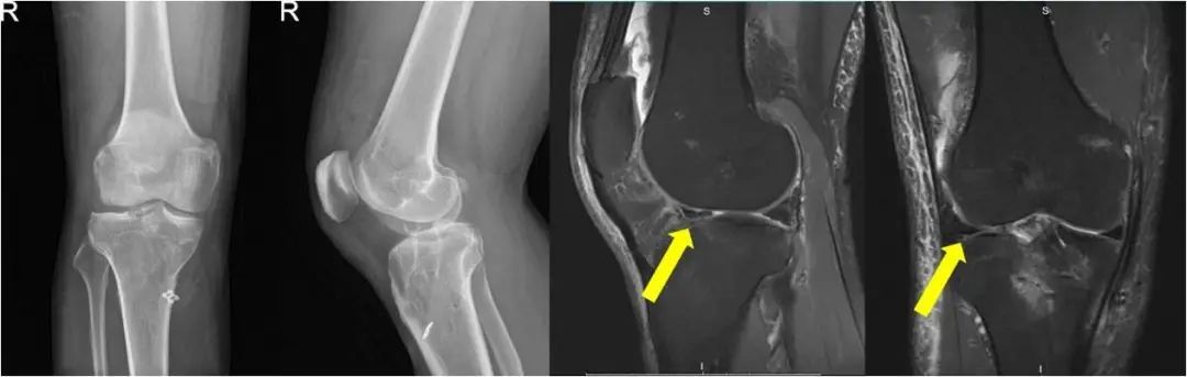
术后影像学显示移植半月板已填充在正常位置,匹配良好
同种异体的半月板,不管是内侧半月板还是外侧半月板,对于半月板缺失产生一些症状的年轻患者来说移植以后的改善症状都很明显,这也给关节外科的医生多提供了一种方法,来治疗这类半月板缺失的一些患者。从文献报道也可以看到,1989年开始,半月板移植手术从同种异体半月板移植,随着灭菌保存、半月板处理,以及手术技术的改善,现在已经成为治疗半月板缺失的主要方法。它对于缓解骨关节炎的发生,改善膝关节的功能也有明显的疗效。
目前,同济大学附属同济医院骨关节外科中心程飚教授团队已经连续完成了150余例半月板缺失患者的半月板移植术,为广大半月板缺失的年轻患者带来了福音。
\ 专 家 名 片 /
程飚
骨关节外科中心/运动医学科
主任医师
教授 博士 博士生导师
专家门诊:周一、二上午
特需门诊:周四上午
现上海市同济医院骨关节外科中心/运动医学科主任。上海医学会运动医学分会副主委,全国骨科关节镜学组委员,中国肩肘外科协作组创始委员,中华医学会运动医疗分会上肢学组委员,上海市医师协会关节镜学组副组长,上海市手外科专科委员,上海市运动医学会理事,中国矫形外科杂志编委,Arthroscopy中文版编委,上海市医疗事故专家鉴定委员会委。
网上预约挂号

专家门诊

特需门诊
图文 | 运动医学科 李军
编辑 | 赵思思 王北墨
校审 | 谢壮丽