在医院就诊时候,您和您的家人是否出现过以下疑问——之前检查过平片了,怎么还要CT检查?前两天刚做过CT,怎么现在又要检查?
其实,同样作为影像检查方法的普通X线、CT和磁共振各有千秋,要了解他们的区别才能解开上面的疑惑。
普通X线、CT和磁共振有什么区别?
普通X线、CT和磁共振的成像原理、成像特点不同,使得他们的有着不同的优缺点。
01
普通X线——平面照相
普通X线成像就像用照相机拍照,得到一张扁平的二维照片,不过成像不依靠可见光,而是穿透力更强的x射线。
不同组织对X射线的吸收衰减能力不同,导致在图像上的明暗程度不同。人体组织因为密度、厚度等不同,使得穿过去的X线量不同,引起图像黑白的不同。密度越高、厚度越厚的组织,穿过去的X线越少,成像为白色,反之成像为黑色。


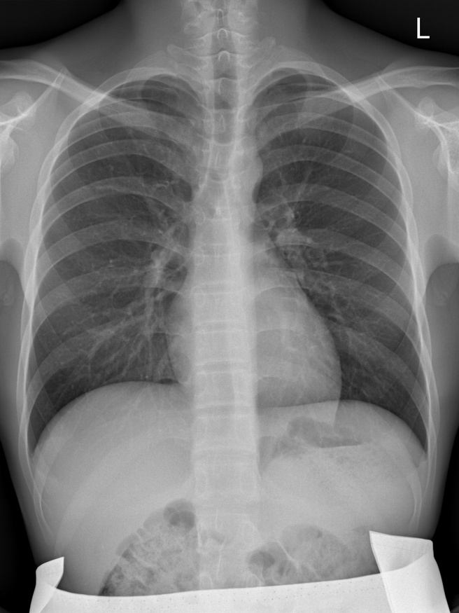
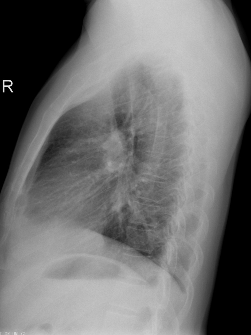
胸部正侧位平片
我们看到图像中,骨骼、肺组织等组织能形成较好的对比,利于医生诊断,X线的优点是辐射剂量小,操作简单快捷、价格便宜。而我们也可以注意到,这个图像是许多组织重叠在一起成像,无法区分前后组织之间的关系以及反映各自的密度与厚度。这是X成像的缺点。
02
CT——分层连拍
如果说,X线是直接拍一张香蕉,CT就是把苹果切片,拍出一组图片,可以更细致地观察到香蕉的内部结构。

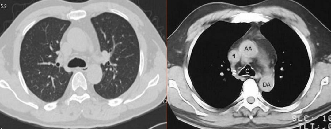
(胸部ct图像)
CT全称是Computed Tomography(计算机断层成像),与普通X线一样,都是以X线穿透人体为基础,不过是分层连续扫描,形成断层图像,没有重叠,能看清楚器官之间的空间位置关系,也可以通过计算机进行后处理,得到曲面重组、最大密度投影法、容积再现技术、CTA等不同应用的图像。缺点是:辐射剂量相对大,价格贵。

曲面重组图像

最大密度投影
03
磁共振——锁定“水”的科技
磁共振(MRI)与普通X线、CT不同,不依赖于X线成像,而是氢原子核,也可以理解为水。以前称为核磁共振,是因为MRI的原理是用较大的磁场,使人体内原本随意排列的氢原子核磁场的磁力线方向统一,再突然把磁场的作用去掉,监测其中信号的变化。MRI成像依靠不同组织含氢核数目不同,或者可以近似理解为不同组织含水量不同,形成图像差异,来区别组织。所以MRI对中枢神经系统和软组织有着良好的分辨能力,适用于软组织、神经系统疾病、内脏器官,并且多序列及多参数成像、功能成像。不过,MRI检查时间较长,价格较贵,预约时间较长。




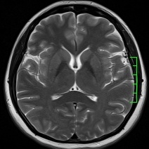
磁共振平扫图像
为什么拍完平片又要拍CT、磁共振呢?
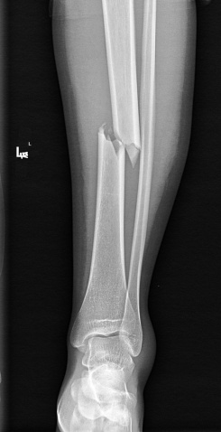
首先,平片作为放射检查中最便捷便宜的检查方式,医生会要求患者先去拍个平片,达到筛查、排除、诊断的目的。例如骨折、肺部、心脏、腹部和盆腔病变等疾病,尤其是突发急性疼痛或是难以控制的慢性疼痛,普通X线检查速度较快,不会延误治疗。通常,X线是骨折检查的首选,明显的骨折X线就可以明确诊断,简便易行,费用低。比如下图中,通过平片诊断这位外伤病人为左侧胫骨中段骨折并移位,是很明确的。


(平片)
然而,正如前面介绍的,普通x线检查有一个很突出的缺点,就是它只能显示照射范围内所有器官重叠在一起的影子,无法将其区分开,容易误诊、漏诊。而CT、MRI检查则能够避免检查部位前后重叠造成的影响。比如这位外伤病人,他的X线片显示左髋未见明确骨折,CT图像重建冠状位则在左股骨颈清晰可见骨折线。

(同一患者的X线图与CT图)
对于一些软组织的显示,尤其是骨折周围韧带、肌肉以及软骨的损伤程度,MRI有显著的优势。比如这位外伤病人,他的MRI图像能明确地诊断剥脱性骨软骨损伤。


(同一患者的X线片与MRI图)
以下这位患者的X线片和CT片都提示:左髋未见明确骨折。而他的磁共振T1WI图像显示左股骨颈可见骨折线及骨折线周围的大片骨髓水肿,提示是个新发骨折。

(同一患者的X线片、CT图、MRI图)
既然CT、MRI显示更清楚,
为什么不直接做CT、MRI呢?
根据之前的介绍,我们知道CT辐射剂量比普通X线大、价格贵,MRI预约时间与检查时间较久、价格贵,不适合做最初的筛查。普通X线检查辐射剂量小,能够起到迅速定位,了解大概情况的作用,但如果X线平片不能提供完整的的影像信息时,就需要做CT、MRI检查了。
假如一个不幸腰部摔伤的患者到医院就诊,医生通过查体无法确认这位患者哪个椎体出了问题,首先就会让他拍一个腰椎的正侧位片子,初步了解一下受损椎体位置以及情况。当发现哪个椎体有骨折了,如果通过观察平片无法确诊该椎体的骨折情况或者很大可能存在其他细微的骨折或软组织损伤时,就需要做这个椎体的CT或磁共振检查了。
为什么“重复”做CT检查?
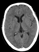
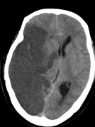
CT检查又贵还有辐射,重复检查是不是就是浪费钱还过度检查了?其实一些情况下,重复检查很有必要。比如对于缺血性脑梗死的患者,早期在颅脑CT上可能没有异常,大约24小时后才能见到因缺血而造成的低密度脑梗死灶。碰到这种情况,要结合病史、病人现况,在24小时后或者更长时间以后给予CT复查,确认诊断。比如,下图中,左图为患者左侧肢体乏力4小时后的颅脑CT图像,右图为患者两天后的颅脑CT图像。发病4小时后的颅脑CT图未见明显异常,而2天后可见大面积的低密度脑梗死灶。
除了了解疾病的动态变化外,在肺癌切除术、肝脏射频消融等治疗后定期复诊,做CT检查,对于了解治疗效果有着重要意义。

发病4小时后的颅脑CT图

发病2天后的颅脑CT图
所以,不同影像检查不是单一的“重复”,而是根据不同情况做出的检查。X线、CT、磁共振有不同检查作用,适用情况不同。随着疾病的动态变化、诊疗的进行,需要根据具体情况选择检查。
图文 | 医学影像科 吕琦
编辑 | 赵思思 王北墨
校审 | 谢壮丽