8岁男童从小开始一侧面部和对侧躯干就有出汗少的现象,由于男孩天生活泼好动,各部位的汗水浸润在一起并未引起家长的重视。最近因流行性感冒前往医院就诊时发现异常,男童的左侧胸腔内竟长有一颗细胞瘤。近日,上海市儿童医院多学科团队共同开展手术,在胸腔镜辅助下,不仅完整为患儿摘除肿瘤,同时有效保护了神经功能,最大程度避免了术后的复发。
大约2个月前,男童一一(化名)经常哭喊着自己的左侧胸部会出现针刺样的疼痛,休息片刻后疼痛症状会有所缓解。1周前,一一因流行性感冒到儿童医院呼吸科门诊,胸部CT检查时发现,其左侧纵膈内有一个和鸡蛋差不多大小的肿瘤。进一步检查后发现,这是一个生长在左侧后上纵膈胸椎旁的神经来源肿瘤,而且肿瘤已经往椎间孔里生长,虽然还没有侵犯到脊髓,但想要通过手术完整切除不仅难度大、容易损伤脊髓神经,如果切除不干净,肿瘤的残留部分还会导致术后复发。

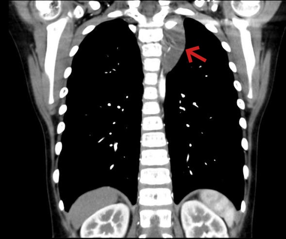
箭头所示为长入椎间孔之纵隔肿瘤
为此,医院心胸外科联合神经外科,在胸腔镜辅助下,依托多学科联合手术,将纵膈内肿瘤连同椎间孔内肿瘤一并完整切除。经术后病理诊断,一一体内的肿瘤为节细胞神经瘤。

手术中
节细胞神经瘤不同于恶性的神经母细胞瘤,是少见的神经组织良性肿瘤,多源于交感神经神经系统,主要起源于脊髓旁的交感神经链节细胞。患儿一般表现为胸痛、腰痛、腹痛及肢体麻木,少数患者可出现霍纳综合征,表现为患侧无汗、眼睑下垂等。经血液科再次会诊,一一无须进行化疗,手术后已于近日出院回家。
多学科联合诊治纵隔神经来源肿瘤不仅能完整切除了往椎间孔延伸的肿瘤,也避免了椎骨、神经和脊髓等重要组织的损伤。目前儿童医院心胸外科和神经外科联合诊治节细胞神经瘤已成为常态化的诊治策略。
记者:薛松
编辑:黄湄