
小张是一位28岁的青年男性,一直给人“高大威猛”的形象,但他却有自己的难言之隐,青春期小张就发现自己阴茎短小,无勃起,性欲减退。
结婚刚一年,因勃起功能障碍,夫妻生活总是难以进行,想当父亲却始终无法实现,面对家人朋友的“催生”,小张也急了,前去泌尿外科就诊,外科医生常规检查,空腹血糖9.0mmol/L,餐后血糖16.2mmol/L,立即让他到内分泌科就诊。

小张声音尖细、皮肤细腻、没有胡须和喉结,特殊面容、身材肥胖,引起了内分泌科医生的注意。医生问:“您结婚了吗?婚姻生活怎么样。”小张就把此次就诊泌尿外科的经历如实告知了医生。内分泌科医生把他带到诊室帘子后面,进行了详细查体,发现小张身高178cm,体重90kg, BMI 28.4kg/m2,指间距158cm,皮肤细腻,无喉结,无胡须,有双侧乳房发育,阴毛稀疏、无腋毛,阴茎短小呈幼稚型,睾丸容积约8ml。医生首先给小张开了性激素检查,发现他睾酮偏低,LH、FSH升高(睾酮0.52 nmol/L;FSH 50.39 mIU/ml,;LH,18.92 mIU/ml),考虑到小张还很年轻,没有家族史,睾酮水平不应该那么低,建议立即完善基因和染色体检查。

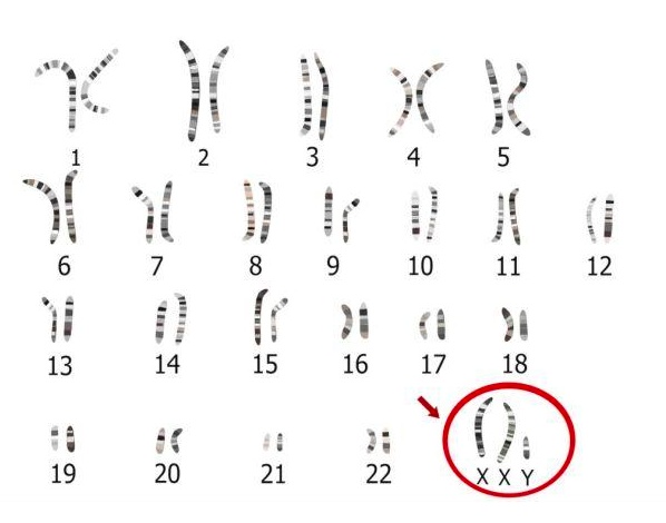
2周后,小张拿到了基因和染色体报告,染色体结果显示为47XXY。医生告诉小张:“您得的是克氏综合征,您的症状是因为染色体异常引起的,在降糖治疗的同时,需要进行雄激素补充治疗,染色体才是您所有疾病的元凶。”
01
什么是克氏综合征?


克氏综合征又称先天性睾丸发育不全综合征,1942年最先由Klinefelter描述并命名,又称克兰费尔特综合征(Klinefelter Syndrome,KS)。是一种性染色体异常所致的原发性性腺功能减退,也是引起不育的常见原因之一。该病最常见的染色体核型是47XXY,也有46XY/47XXY、46XX/47XXY嵌合型及其他变异型。克氏综合征伴发糖尿病的危险性增加,可达50%。
02
临床特点:
(1)身高>指尖距;
(2)皮肤细腻,胡须、阴毛稀少,男性乳房发育,有时伴有智力、心理障碍;
(3)阴茎短小,睾丸体积小,生精障碍,性功能障碍;
(4)青春期血清睾酮一般处于正常范围低限,青春期后血清睾酮低于正常,促性腺激素升高;
(5)多X染色体核型;
(6)伴有糖尿病;
03
克氏综合征如何治疗?
克氏综合征需至内分泌科进行专科治疗,主要是雄激素替代治疗、针对不育症治疗、控制血糖以及改善性功能治疗,经过专科治疗后,患者是可以生育的。
04
疾病小知识:
与糖尿病相关的遗传性综合征除了Klinefelter综合征以外,常见的还有Down综合征、Turner综合征、Prader-Willi综合征、Wolfram综合征等。
Down综合征即21-三体综合征:是由染色体异常(多了一条21号染色体)而导致的疾病。患者有面容特殊,两外眼角上翘,鼻梁扁平,舌头常往外伸出,肌无力及通贯手。绝大多数为严重智能障碍并伴有多种脏器的异常,如先天性心脏病、白血病、消化道畸形等,糖尿病发病率高。
Turner综合征:是由于全部或部分体细胞的其中一条x染色体部分或完全缺失所致,典型表现为身材矮小和Turner外貌,如淋巴水肿、颈蹼、低发际和肘外翻,在十多岁时表现青春期延迟,成年女性主要表现为无排卵和不育。
Prader-Willi综合征:俗称小胖威利综合征,由15号染色体异常引起。主要特征为新生儿期严重肌张力低下、喂养困难、外生殖器发育不良,婴幼儿期后食欲亢进、肥胖、学习障碍及脾气暴躁,常伴有糖尿病。
Wolfram综合征:是由4号染色体基因突变引起,常以1型糖尿病为首发症状,伴有视力减退、耳聋、尿崩症。
05
TIPS:
1.面对新发糖尿病患者,医生需要关注对性功能、生育史的问诊及性器官体检;
2.对于早发糖尿病合并性功能障碍的患者,可至内分泌科专科就诊;
3.对于早发糖尿病,有或无合并特殊面容、耳聋、智力低下、发育困难等情况,都应该至内分泌科专科评估,必要时需进行基因和染色体诊断,以便尽早诊断和合理治疗。
专家介绍

黄珊
内分泌科主任医师
医学博士 研究生导师
上海市长宁区内分泌硕博基地负责人
上海市医学会内分泌学会委员
上海市医师协会内分泌分会委员
上海市内分泌肾上腺学组副组长
中国中西医结合学会内分泌分会糖尿病肾病学组委员
上海市中西医结合内分泌代谢组委员
上海市糖尿病康复学会委员
上海市科普作家学会委员、评审专家
专家门诊:每周二上午
特需专家门诊:每周二下午、周四上午

彭文芳
内分泌科副主任医师
医学博士 研究生导师
上海市内分泌医师协会青年委员
上海市医学会内分泌学会甲状腺学组委员
擅长甲状腺早癌的筛查;
糖尿病血糖精细调控及慢性并发症的诊治;
骨质疏松症等骨代谢疾病的诊治
承担国家自然科学基金课题,市、区级课题多项,
发表SCI论文及核心期刊论著多篇。
专家门诊:每周五上午

邵侃
内分泌科副主任医师
医学硕士
上海市医学会糖尿病专科分会糖尿病监测与治疗新技术学组委员
发表10余篇核心期刊论文、6篇SCI论文,科普作品3个
申请发明专利4项
擅长血糖精细调控
糖尿病慢性并发症的预防和治疗
专家门诊:每周一下午

蒋小红
内分泌科副主任医师
医学硕士
上海市海医学会糖尿病分会代谢综合征学组委员
同仁MMC执行负责人
升三内审员
专攻糖尿病精准治疗,
擅长特殊类型糖尿病诊治
专家门诊:每周五下午
初发糖尿病门诊

上海市同仁医院内分泌科于2021年9月开设初发糖尿病特色专病门诊,主要针对初次出现血糖异常或者初次进行治疗的患者明确诊断糖尿病分型及病因,避免误诊。尽可能为初发2型糖尿病患者血糖逆转把握时机,对患者进行早期生活方式指导、药物指导以及病情的跟踪、随访,为患者的健康全程保驾护航。
初发糖尿病门诊 每周日上午
供稿:奚刘清、蒋小红、彭文芳、邵侃、邰筱晨
审稿:黄 珊
校审:戴 云