它!
是常见却很“低调”的肝脏疾病。
有时它的超声报告却会让你吓一跳:
肝内占位或可疑肝肿瘤,建议进一步检查!
医鸽
它常常是肝脏局灶性结节性增生(FNH)!
FNH——全称肝脏局灶性结节性增生(Focal Nodular Hyperplasia),是一种常见的良性肝脏疾病。其发病率在0.3%-3%,是正常的肝细胞以不正常结构排列的肝脏良性实质性肿瘤,仅次于肝血管瘤。FNH最常见于35-50岁的女性(90%为女性),而男性患者则比较少见。通常FNH病灶较小,直径<5cm,单发多见,有10~20%可为多发。

FNH是怎么来的?
◎血管异常:异常的血管畸形改变(包括小血管瘤、动静畸形、扩张的毛细血管等);
◎口服避孕药:目前有证据认为口服避孕药不会增加FNH的发生率,但可能会促进FNH的生长;
◎其他炎症、外伤因素:FNH可能是肝脏对外伤的一种局部反应性增生。
FNH会有什么症状?
临床上约75%的患者无特异性症状,一般体检时发现病灶;部分患者右上腹疼痛不适、肝大或右上腹包块等非特异症状,且症状与病灶大小关系不大。
医鸽
因为至今没有恶变的报道,所以FNH通常不会对身体造成太大的危害。
超声下的FNH长什么样?
体检中肝脏超声检查是对FNH的初筛手段,具有一定的诊断价值。
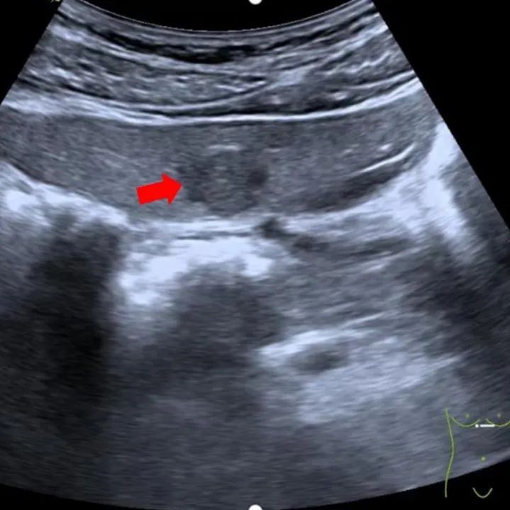
常规超声表现:大部分形态规则(类圆形)、边界清,低或稍低回声或等回声为主,高回声少见,合并脂肪肝时,基本为低回声。回声均匀或不均匀,少部分中央可见星状或条状低回声,部分周边见低回声晕环(此类容易误诊为恶性肿瘤)。

肝左外叶低回声病灶

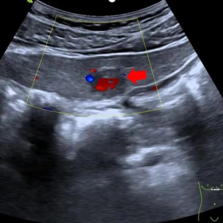
病灶可探测到一支血流由病灶外部进入病灶内(即滋养动脉)
在超声造影下,FNH动脉相快速离心性高增强,约40%的病灶内可见滋养血管由中央向周围呈轮辐状放射。


(就像横过来切的桔子一样)
检查出FNH,需要干预么?
◎FNH偶有破裂出血,无潜在恶变。
◎因此,对于无症状确诊的FNH可随访观察,定期行影像学检查(MR造影及超声造影检查为佳)。
◎服用口服避孕药的患者应停用相关药物。
◎对于无法排除肝癌及肝细胞腺瘤可能的,或有明显症状、病灶迅速增大或持续性增大的患者,尤其对于合并肝炎或有肝硬化病史的患者,应积极采取手术治疗。
◎ 作者介绍 ◎
李美莺,普陀区中心医院健康管理中心、超声主治医生;医院“科普百人计划”第二期成员;擅长腹部超声、浅表超声、血管超声、腔内超声等,尤其在肝脏肿块、甲状腺结节、乳腺结节等方面积累,丰富经验并发表相关文献数篇。
资料:普陀区中心医院
编辑:黄湄