
今天一早,瑞金医院嘉定院区普外科吴庆华副主任医师查房时,赵阿婆握住吴医生的手哽咽着说:谢谢你,谢谢瑞金医院,谢谢你们大家,我因为这个病差点不想活了,现在好了,都好了!

原来,七十有余的赵阿婆近一年来右颈部逐渐长出一个肿瘤,越来越大的肿瘤让她看上去好像肩扛了一个“炸药包”,让她痛不欲生。孩子们带她辗转跑了上海许多三级医院门诊,但由于赵阿婆的肿瘤浸润面积广泛,涉及脏器部位众多,手术风险极大甚至危及生命,得到的回复都是:无法手术!伴随肿瘤的持续增大,还伴有剧烈疼痛,赵阿婆抑郁了,整个大家庭也很着急和担心。
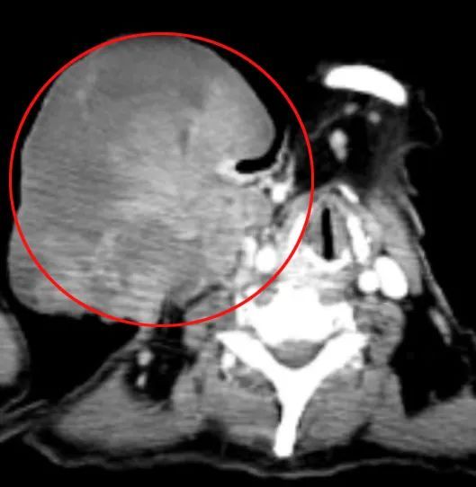
今年6月,赵阿婆一家来到瑞金医院嘉定院区普外科吴庆华专家门诊。吴医生详细询问病史,原来赵阿婆15年前曾经在外院做过甲状腺癌根治术,术后声音嘶哑,后来肿瘤还是复发导致肝肺转移。CT片上看到甲状腺癌在颈部侵犯气管导致狭窄,广泛侵犯食管颈前肌群、胸锁乳突肌及颈内静脉,而且分期为比较罕见的IVB期。同时患者还存在严重细菌感染、电解质紊乱、重度贫血和重度低蛋白血症等各种问题。

吴医生查看赵阿婆颈部重重敷料包裹下的肿瘤,发现肿瘤约15×8×8cm大小,已经出血感染坏死腥臭明显,随时可能出现出血感染,甚至压迫窒息。看着古稀之年、痛苦不堪的病人,吴医生综合判断病情,认为病患虽为甲状腺乳头状癌晚期,但病人没有显著恶液质表现,在充分支持下还是具有局部手术指征的。

赵阿婆CT图像下的肿瘤如同一枚“炸弹”
住院期间,普外科团队积极治疗,改善病人身体状况。在普外科赵任教授的组织下,通过MDT多学科会诊制定了整体治疗方案:手术切除颈部巨大肿瘤、I期整形创面覆盖(备创面裸露II期植皮术)+后续同位素治疗+基于基因检测下的靶向药物治疗。
半个月前,在得到赵阿婆全家的理解后,在麻醉科和手术室团队的帮助下,吴医生团队在全麻下施行颈部巨大肿瘤切除加右颈淋巴结清扫术,在肿瘤广泛浸润侧颈部的情况下,通过精细解剖,完整切除肿瘤,保护颈动静脉及颈部纵横交错的神经,同时行皮瓣整形,I期缝合切口覆盖创面。

手术结束,重达5斤的“炸药包”被拆除了。这极大地改善了赵阿婆的生活质量,也为疾病的后续治疗奠定了基础。
“不轻视,不恐惧,不放弃”,吴庆华医生说,“对于各类甲状腺癌包括髓样癌及未分化癌等,瑞金医院普外科团队已经积累了包括腔镜和传统手术各方面的丰富诊治经验。”
普外科门诊信息
总院:
赵任
周一下午、周四上午专家门诊
嘉定院区:
赵任
周三上午专家门诊
吴庆华
周一上午、周六上午专家门诊
撰文丨普外科 吴庆华
编辑丨温兆琦