近日,上海市杨浦区中心医院肝胆胰外科团队成功切除一例直径16厘米的肝内特大血管瘤,为患者解除病痛。
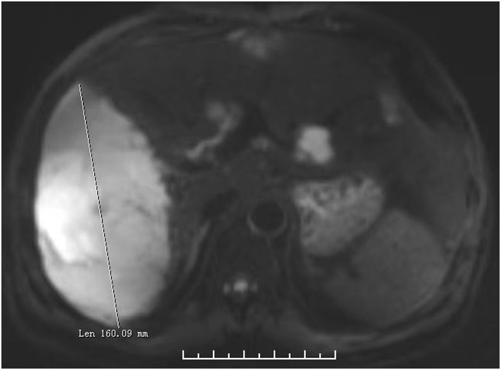
两周前,患者老周急匆匆地赶到杨浦区中心医院就诊,担心自己得了“肝癌”。肝胆胰外科的李桢主任医师在详细了解病情和阅读CT片后,立刻诊断出老周罹患的是肝内多发血管瘤,而非肝癌,这是肝脏内最常见的良性肿瘤,占肝良性肿瘤的84%,中年女性发病率高于男性,是男性的6倍。其中最大的一颗血管瘤的直径足足有16厘米,存在随时破裂出血的风险,宛如一颗“不定时炸弹”,需尽快手术治疗。

//
入院后,李桢主任立刻就老周的病情组织了科内讨论,一边制定缜密的肝内血管瘤切除术手术方案,一边为老周安排充分的术前准备。手术由肝胆胰外科李桢主任医师和曾和平副主任医师联手实施,术中发现老周的肝血管瘤位于右肝第6、7、8段,并且压迫到肝右静脉,分离中稍不留神就可能造成血管瘤破裂和大出血。团队之间通力合作,凭借丰富的手术经验和娴熟的技术,逐层抽丝剥茧,两位主任顺利完成了周围组织黏连分离、血管瘤完整切除等操作,仅用两小时就为老周“拆除”了体内这颗“巨型炸弹”。
在肝胆胰外科医护团队的悉心治疗及“快速康复”理念护理下,通过缩短术前禁食时间、术前合理评估、术后规范化镇痛、早期活动,早期功能锻炼等措施,老周术后恢复顺利,术后1天进食流质食物,术后2天就能离床活动,目前已康复出院。
肝胆胰外科主任医师李桢表示,肝血管瘤是最常见的肝脏原发性良性肿瘤,早期多无明显症状,但巨大的血管瘤可对周围组织和器官产生推挤和压迫,从而造成肝区胀痛不适、消化不良、恶心或腹部包块等症状。B超是肝血管瘤的首选检查方法,定期体检有助于早期发现。
肝胆胰外科副主任医师曾和平表示,肝血管瘤直径大于10厘米,称为巨大血管瘤;达到15厘米时,则称为特大血管瘤。体积越巨大,肝血管瘤破裂风险就越大,一旦发生破裂就可能引起生命危险,必须紧急进行医疗救治。手术切除和介入栓塞是目前最常用的两种治疗手段。
杨浦区中心医院肝胆胰外科团队一直坚持“精准微创,快速康复”的理念,能熟练开展腹腔镜下肝脏、胆道、胰腺、脾脏等各类重大、复杂的肝胆外科手术,为广大患者的健康保驾护航。此特大肝血管瘤的成功切除,再次展示了医院普外科专业技术水平及综合实力。
专家介绍
李桢 主任医师、教授、硕士研究生导师
专长:
微创手术治疗各类肝胆胰疾病,如胆囊结石个性化微创治疗、保胆取石术、单孔腹腔镜胆囊切除术、免气腹胆囊手术、腹腔镜下肝肿瘤切除术、胰腺切除术、脾脏切除术,以及微创手术治疗肥胖症、糖尿病。
专家门诊时间:
周一上午:
安图分部(延吉东路200号)
周二、三上午:
总院(腾越路450号)
曾和平 副主任医师
专长:
长期从事肝胆胰外科专业,熟练掌握肝胆胰肿瘤的综合诊疗,熟练掌握腹腔镜技术,包括单孔腹腔镜胆囊切除、腹腔镜下胆总管切开取石、腹腔镜下肝肿瘤切除等。
专家门诊时间:
周二下午、周五上午:
总院(腾越路450号)
文字/图片:卫健
编辑:吴百欣
*转载请注明来自上海杨浦官方微信