
小明是一名22岁的小伙子,身高176cm,但是体重在巅峰时却高达320斤,为了减肥,小明开始接触健身,不久便爱上了举铁运动,俗称“撸铁”,小明每次健身时间都比较长,运动量也很大,效果显著,因此小明决定将撸铁进行到底,经常泡在健身房。
过度“撸铁”,引发胸闷
一个月前的晚上小明剧烈撸铁后顿感胸部不适,胸闷、胸痛,第二天下午胸闷、胸痛等症状持续加重,并且开始气急气促,小明当天傍晚来到瑞金医院嘉定院区急诊科就诊,CT检查结果显示小明胸部出现了“纵隔气肿”。
急诊立即请胸外科张能冲医生会诊。张能冲医生诊断小明为剧烈举铁摒气引起的胸腔压力骤增导致的自发性纵隔气肿,推入急诊抢救室对症处理,但小明逐渐出现心率加快(超过130次/分),呼吸急促(频率超过30次/分),氧饱和度需要面罩吸氧及增加吸氧浓度才能维持在95%左右,无法平卧,大汗淋漓,复查胸部CT提示纵隔气肿较前明显进展,双侧气胸。
什么是“纵隔气肿”?
张能冲医生考虑小明出现了罕见的张力性纵隔气肿,随即向嘉定院区胸外科执行主任朱良纲汇报病情,朱良纲主任诊断为张力性纵隔气肿,需尽早进行手术治疗避免呼吸循环衰竭。张能冲医生充分告知小明及家属目前病情及治疗方案,取得同意后立即联系麻醉科及手术室,考虑小明颈部较短且肥胖,颈部皮下气肿较少,颈部切开减压预计效果不佳,决定予以急诊胸腔镜手术进行纵隔减压。
胸外科喻盛佳医生说,小明的纵隔气肿比较特殊,剧烈举重期间,长时间的Valsalva呼吸(一种屏气时强行呼吸的动作)引起胸腔内压急剧增加,导致肺泡破裂,溢出的气体沿着支气管血管束扩散至纵隔,形成一个单向阀,气体只进不出,小明颈部肥胖且较短,气体不容易进入颈部及胸部皮下组织,导致纵隔压力不断增大,这种情况是非常危险的。
团队密切配合
手术仅30分钟

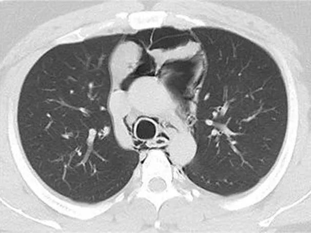
初诊CT显示纵隔气肿明显

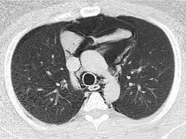
复查CT较前明显进展
在麻醉科董榕主任及手术室杨利英护士长的协调下,小明很快由急诊抢救室推入手术室,尽管术前做了充分准备,在诱导麻醉后还是出现了凶险的一幕。小明无法平卧,予以半卧位诱导麻醉,但小明在诱导麻醉后氧饱和度不断下降,同时听诊小明肺部出现广泛哮鸣音。手术团队考虑小明严重纵隔气肿诱发小气道痉挛导致哮喘急性发作,氧饱和度迅速降到20%。罗毅医师立即注射药物控制哮喘,蓝海珍医师快速单腔管气管插管,张能冲医师及喻盛佳医师快速予以胸骨上凹颈横切口切开分离,进行部分减压,胸外科、麻醉科及手术室护士密切配合,一系列有条不紊的措施后小明氧饱和度稳步升高,避免了长时间缺氧可能引起的器官功能障碍。
待小明生命体征稳定后开始手术,麻醉医生通过间断性停呼吸、小潮气量通气,协助胸外科医生暴露右侧胸腔手术视野,打开双侧纵隔胸膜、切除双侧纵隔脂肪组织,打通了胸部的三个空间(左侧胸腔、纵隔及右侧胸腔),快速减压,仅用30分就顺利完成手术。在我院ICU刘娇主任医护团队保驾护航下,小明很快拔除气管插管,转入胸外科普通病房,经过康复科和护理团队术后的指导康复锻炼,小明在6天后顺利康复出院。

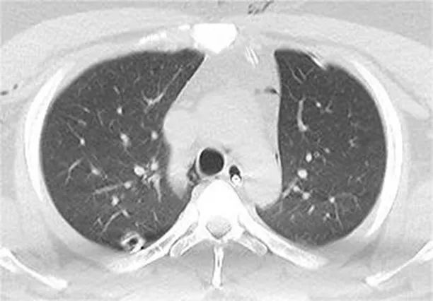
术后复查CT显示纵隔气肿基本吸收
瑞金医院胸外科主任李鹤成提醒,自发性纵隔气肿多数为自限性疾病,大部分通过保守对症处理后痊愈,气肿可以自行吸收。极少患者可能出现出现张力性纵隔气肿,纵隔内积气快速增加导致压力骤增压迫纵隔,需要紧急手术减压,否则会引起呼吸及循环不稳定,严重者呼吸循环衰竭危及生命。
目前,越来越多的年轻人喜欢健身运动,运动损伤大家大多会关注肌肉、关节、脊柱等部位,忽视了剧烈运动导致的自发性纵隔气肿及自发性气胸,健身爱好者们需要警惕,健身虽好,但需要避免过度。如出现剧烈运动后的突发胸闷、胸痛、呼吸急促甚至呼吸困难等,千万不要忍,尽快去医院治疗。
胸外科门诊信息
总院:
李鹤成
周一全天专家门诊
周四上午专家门诊
周三上午特需门诊(总院 )
嘉定院区:
朱良纲
周四全天专家门诊
周三上午特需门诊(嘉定)
撰文丨喻盛佳、邵榴兰
编辑丨温兆琦