12岁的初中女孩小雅突发右眼失明,检查发现视网膜中央动脉堵塞,头颅磁共振检查发现多发脑梗,心脏超声检查发现心脏里面有一个肿块,随着心脏跳动而不停摆动。

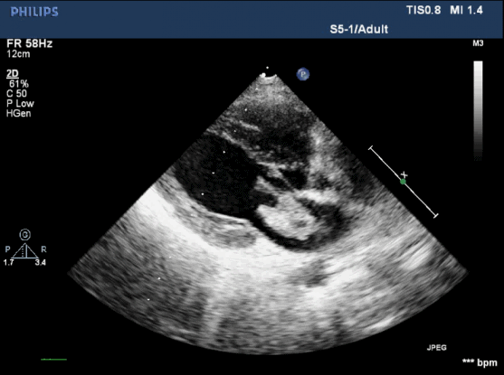
新华医院心胸外科张丽医师立即给她查了心脏超声,发现左侧心房里有一个3.5cm左右的不规则包块,分成多叶,随着血流而飘舞,并且舒张期堵住二尖瓣的入口,高度怀疑心房粘液瘤。这个包块表面还有很多小的凸起,像葡萄串一样,随时可能脱落,还会进一步导致脑梗或腹腔脏器等梗塞,造成器官坏死。如果整个包块脱落,那么可能直接导致患者死亡,病情十分危险。

心脏超声检查图像
小雅一周前刚刚经历了多发脑梗,短时间内能否承受心脏手术,是摆在专家们面前的难题。如果等3个月再手术,漫长等待期间会使得小雅面临再次梗塞的风险。
综合分析病情后,考虑到该肿块的多发分叶的特点以及她的头颅磁共振表现,以及最近十年的国际国内经验总结,新华医院心胸外科团队决定尽早手术。
手术中,朱家全主任发现这个粘液瘤通过一个很小的蒂连接在左心房的天花板上。专家们将它连根切除,并把周围的可疑组织一并处理,心脏里面各个角落也仔细查看确保没有残留。
手术切除下来的组织大小、形态和术前超声完全一致,3-4 cm大小左右,有两个大的分叶,伴随着表面很多小的分叶,在灯光下晶莹剔透,犹如葡萄串一样。
然而当医生们把它放在水中,它又露出其狰狞的一面,表面的各个小的分叶张牙舞爪地分别漂起,象珊瑚礁一样。这些小的分叶任何一个脱落下来均可能造成致命或致残的梗塞,这个肿块就像蛰伏在心脏里的一头凶兽,不及时捉住就会在身体里到处肆虐。
小雅的手术后康复也很顺利,在监护室里仅停留了一天,很快下床正常活动,手术后的复查也非常好。小雅的脸上也露出久违的笑容,话也逐渐多起来,近日已经出院回家,很快又可以蹦蹦跳跳地参加学校各种活动了。

心脏粘液瘤是一个罕见的良性肿瘤,发病率万分之一左右,大部分在成年人中发病,小雅是新华医院专家们这些年遇到的最小病例之一。手术是治疗的有效方法,粘液瘤切除后绝大部分都不会复发,但终生仍有5%左右的复发率,因此即便手术完整切除,术后每年的心脏超声检查很有必要,防止因发现太晚而再次导致器官栓塞致残致命。
参考文献:1.Luo C, Zhu J, Bao C, Ding F, Mei J. Minimally invasive and conventional surgical treatment of primary benign cardiac tumors. J Cardiothorac Surg. 2019;14:76.
作者:上海新华医院心胸外科副主任医师 朱家全
心胸外科介绍
上海新华医院心胸外科·心脏大血管外科,国家临床重点专科。现有床位105张,ICU床位23张,专用4间专用手术室与1间“杂交”手术室,拥有最新一代达芬奇机器人、先进的心血管MRI、CT、DSA,三维心脏超声心动图设备,是国内集成人和小儿于一体的心胸血管疾病外科最权威的诊疗中心之一。微创心脏不停跳下冠状动脉搭桥术;房颤的超微创外科治疗;心脏瓣膜病的瓣膜成形修复术与瓣膜置换术、TAVR;先天性心脏病的外科治疗及介入、超微创封堵治疗;主动脉夹层与主动脉瘤的外科介入与手术治疗。肺小结节的一体化精准诊疗;肺癌外科综合治疗;食管癌的腔镜微创外科治疗;胸壁畸形:漏斗胸、鸡胸超微创矫治术;纵膈肿瘤的微创外科治疗。
门诊预约
请点击链接☞:心胸外科门诊