秦阿姨今年67岁,2017年曾因肺癌行肺叶切除术,2019年又不幸确诊子宫内膜癌,没想到入院后进一步检查后发现胰腺同时也有肿瘤,且有两处病灶!
面对一个如此复杂的病例,新华医院的接诊团队该如何处理呢?
针对秦阿姨这种棘手案例,新华医院迅速组织了多学科MDT讨论。结合上腹部增强CT、PET/CT及肿瘤指标,MDT团队的专家们认为胰腺肿瘤虽然考虑恶性,但此时尚无远处转移,可以通过手术切除。
于是,新华医院普外科龚伟主任团队与妇产科联手为秦阿姨做了全胰腺十二指肠切除+脾切除+子宫切除术,术中彻底清扫了包括转移淋巴结在内的区域淋巴结,达到了肿瘤的根治性切除。

手术非常成功,术后病理证实胰腺两处肿瘤分别为胰腺低分化腺癌和胰管内乳头状腺癌。
在医生护士及秦女士家人的精心照顾下,秦阿姨术后恢复很快,术后两天就开始进食,一周后开始逐步拔除引流管,术后两周就康复出院了。同时,在内分泌科医生的帮助下,血糖控制也很平稳,术后生活质量没有受到太大影响。
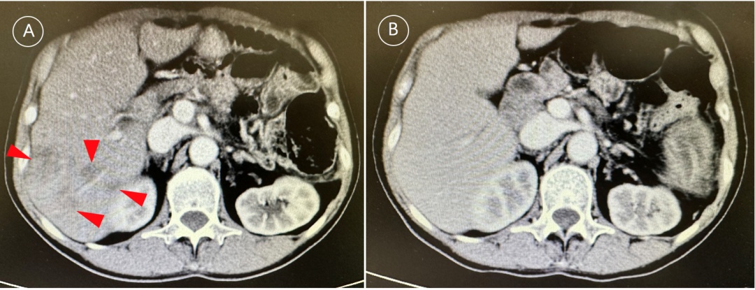
术后一个月,龚伟主任团队针对她的胰腺癌做了6个疗程的术后辅助化疗。可惜的是,秦阿姨对常规化疗不敏感,化疗结束后复查发现肝脏多发转移灶。
龚伟主任领衔的肝胆胰MDT团队在这时再一次发挥了重要作用,经过讨论,专家们为秦阿姨更改化疗方案的同时加入了免疫治疗。2个疗程后,肝转移灶就明显缩小,6个疗程后,肝转移灶完全消失,为了巩固治疗效果,专家们建议她继续做了7个疗程的治疗。
停药到现在已经有近两年了,秦阿姨所有复查结果均正常,达到了完全缓解!

化疗后出现肝转移灶(A)及化疗+免疫治疗后转移灶完全消失(B)
秦阿姨良好的预后,得益于新华肝胆胰MDT团队丰富的临床经验和精准的术前评估,也得益于普外科龚伟主任团队精湛的手术技术及术后规范准确的辅助治疗。
先后罹患三种癌症,且其中一种为“癌中之王”胰腺癌,从多重磨难中挺过来的秦阿姨有很多感慨,她说是新华医院给了她重生的机会,非常感谢龚伟主任团队为她的生命保驾护航。现在她身心状态非常好,一扫过去的“阴霾”,可谓是“千磨万击还坚劲,任尔东西南北风”!
科普时间
搜索
胰腺癌,传说中的“癌中之王”,是消化系统常见的恶性肿瘤之一,五年生存率不及10%,是预后最差的癌症之一。

胰腺癌临床症状隐匿且不典型,诊断和治疗都很困难,其手术难度大,化疗效果不佳,死亡率较高,治愈率很低。近年来,随着靶向治疗及免疫治疗的应用,胰腺癌的生存率有了明显的提升,不少患者从中获益。
胰腺癌发病隐匿,早期多无明显症状,大多数患者就诊时已经是中晚期。秦女士的胰腺癌即偶然发现,本身并无明显的症状。对于可进行手术的患者,根治性手术切除是胰腺癌患者延长生存期甚至治愈的最根本方式。
对于临界可切除患者,可以通过新辅助治疗的方式使肿瘤降期,从而获得根治性手术的机会。而对于有远处转移的患者,大多采取化疗、靶向治疗、免疫治疗等全身治疗的方式,以期延长生存期。
新华医院普外科在胰腺恶性肿瘤诊治方面具有非常丰富的临床经验,肝胆胰MDT团队由普外科领衔,包括普外科、肿瘤科、影像科、核医学科、超声科、病理科等科室的专家,为各类疑难患者保驾护航,提供最合理最有针对性的治疗方案。
普外科除了常规的开腹胰腺癌根治性手术之外,同时开展微创的腹腔镜手术及机器人手术。而对于各种复杂的肝胆胰手术,龚伟主任团队更是有着非常丰富的经验,全国各地的病人慕名前来参加肝胆胰MDT门诊,希望在这里得到更好的治疗。
新华医院龚伟主任及其带领的团队在胰腺癌精准治疗领域耕耘已久,已形成一整套针对胰腺癌从手术到化疗联合靶向、免疫治疗在内的个体化多手段综合治疗模式,提高了胰腺癌的手术切除率及治疗效果,相关经验多次在国内外学术会议上与国内外学者进行交流并引起极大关注。
同时,普外科也开展了多项针对胰腺癌的靶向和免疫治疗的临床研究,期待在胰腺癌的治疗方面能有更多突破,切实提高胰腺癌患者的生存期。
普外科介绍
上海新华医院普外科是国家临床重点、上海市“重中之重”重点学科,国内知名肝胆胰疾病诊治中心。亚专业覆盖肝胆胰、胃肠、甲状腺、疝与腹壁疾病、微创、血管和伤口治疗等。各类复杂困难肝胆胰手术、后腹膜肿瘤手术、肝胆胰及胃肠肿瘤的多学科和规范化诊治居国内先进水平,胃肠外科、甲状腺、疝和血管亚专业也各具特色。国内较早开展腹腔镜微创手术和机器人手术。各亚专业带头人均有较高学术影响并任国家级学术组织委员。
门诊预约请点击链接
☞:普外科门诊
专家介绍

